打开应用

肱骨外科颈骨折(切复内固定)

高医师   许德全中医医院
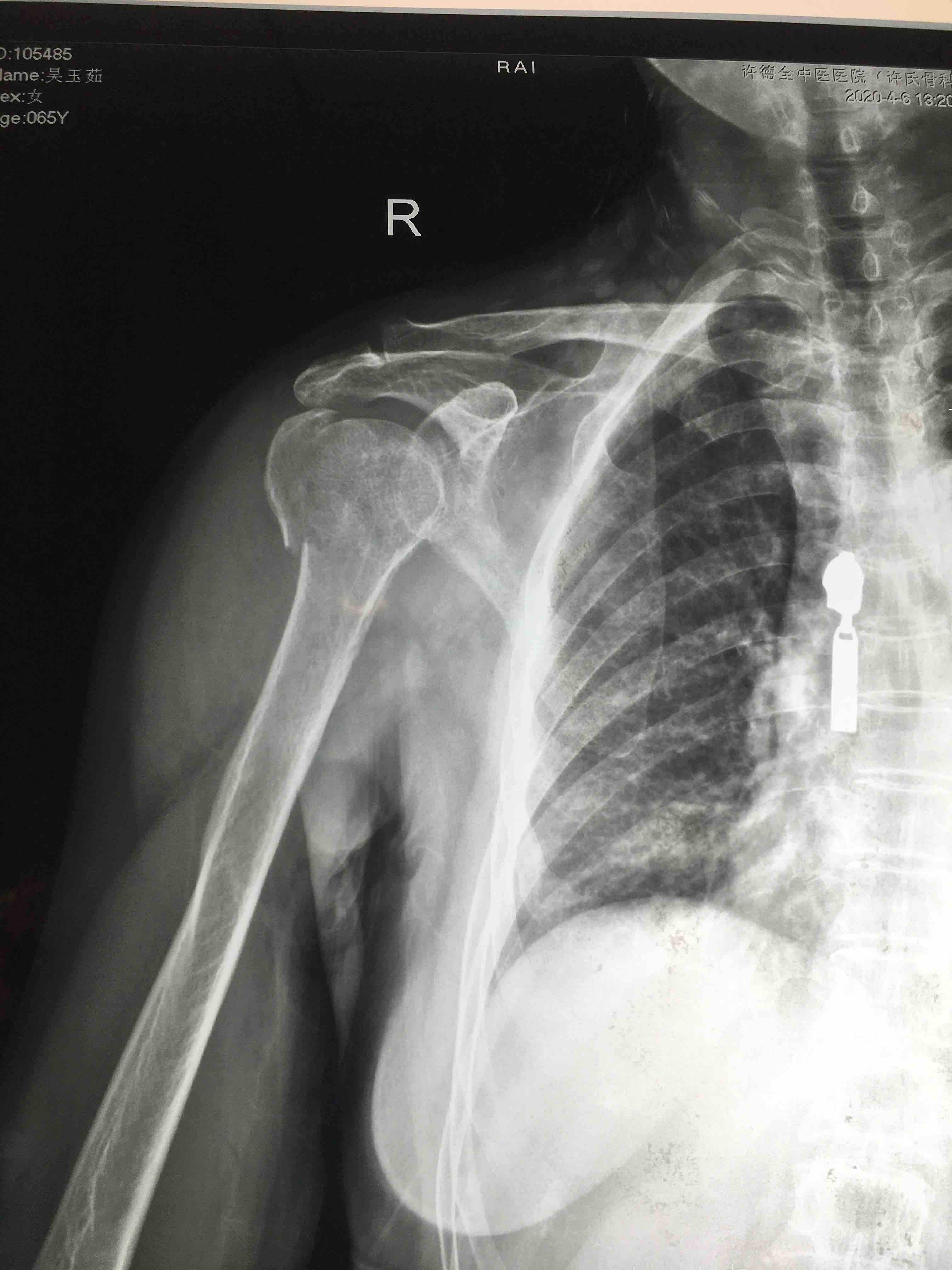
骨折 肱骨外科颈骨折

主诉 病史

摔伤后右肩部肿痛,活动受限1小时入院。既往身体一般,无特殊不良嗜好。

查体 辅查

生命体征平稳,心肺复未见异常。右肩部肿胀明显,局部皮色发红,皮温高,压痛及纵向叩击痛阳性,肩关节活动受限,末梢血运感觉正常。

诊断 处理

诊断右肱骨外科颈粉碎性骨折在臂丛麻醉下行切复内固定术,术后抗炎,消肿等处理。

发布于 20-04-12 11:08

2 个评论

发送