打开应用

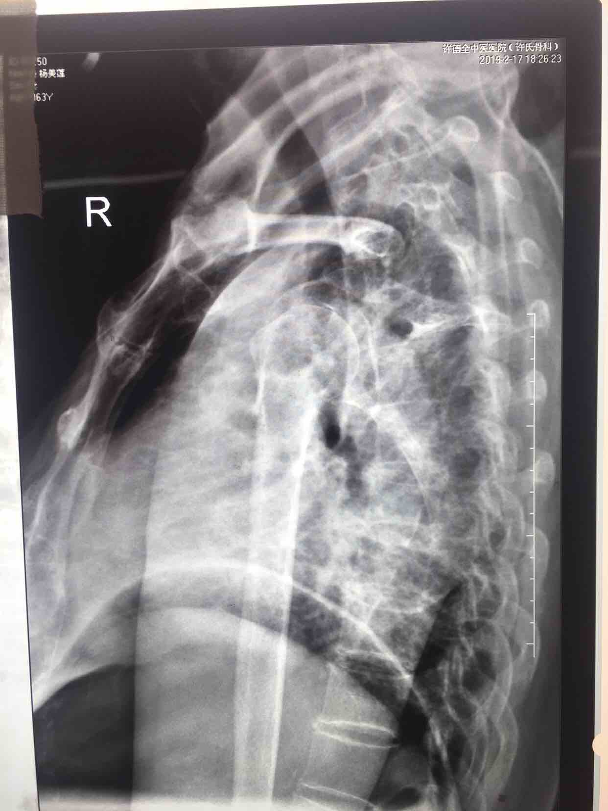
肱骨外科颈粉碎性骨折(切复内固定术)

高医师   许德全中医医院
骨折 高血压

主诉 病史

摔伤后右肩部肿痛活动受限1小时入院。既往患高血压5年左右,最高为160/90毫米汞柱。无特殊不良嗜好。

查体 辅查

生命体征平稳,心肺腹未见异常。右肩部肿胀明显,局部皮色皮温基本正常,压痛及纵叩痛阳性,可及骨檫音及骨檫感,肩关节活动受限,末梢血运感觉正常。

诊断 处理

诊断:肱骨外科颈粉碎性骨折(右)完善术前准备,在臂丛麻醉下行切复内固定术,选肱骨近端锁定钛板,保持稳定性及早期功能锻炼。术后抗炎,消肿等处理。

随访 讨论

手术最大优势尽可能解剖复位,保障骨折稳定,早期功能锻炼,避免肩肘腕综合征,骨折移位风险发生。

发布于 19-02-19 12:07

5 个评论

发送