打开应用

1例子宫动静脉瘘的成功修复

余医师   广东省妇幼保健院
子宫动静脉瘘 稽留流产 流产

主诉 病史

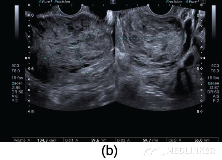
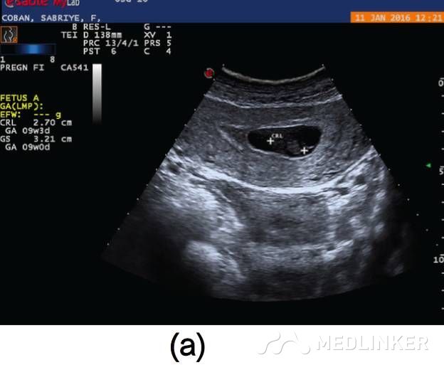
   患者35岁,G2P1A1,2周前因稽留流产(9周),于外院行刮宫术(图1a)。该患在首次刮宫术后因怀疑宫腔内血肿,在术后观察的一周内反复性刮宫。最终因为患者阴道流血及转入我院后,终止刮宫。入院后查:Hb:11.2g/dL,Htc:35.1%,hCG:3518mIU/mL。阴式超声示子宫前壁可见60×60×56mm(103cm3)大小杂乱回声区(图1b)

查体 辅查

图1 (a)刮宫术前彩超示: 宫内死胎, 妊娠9周, 未见子宫动静脉瘘;(b)子宫前壁可见大小60×60×56mm(103cm3)杂乱回声区, 并延伸至子 宫左侧 ;(c)彩色多普勒超声检查示极丰富“五彩镶嵌”彩色血流 

诊断 处理

 患者入院诊断:动静脉畸形。介入科会诊后行双侧子宫动脉栓塞术,栓塞材料为氰丙烯酸丁酯和碘油的混合物。该患者栓塞前后情况如图2所示。子宫动脉栓塞术后,患者未出现并发症,术后2天,患者出院,血hCG降至1766mIU/mL。术后1个月复查超声,未见血流,且受损范围缩小至61∗46∗52mm(77cm3)(图3),血hCG<0.5mIU/mL。  图2(a)右/左髂内子宫动脉造影术示:轻度扩张的子宫动脉显影浑浊,子宫内见多血管性肿块;(b)双侧子宫动脉栓塞术后图像   图3(a)2个月后的阴式超声示::受损范围缩小至61∗46∗52mm(77cm3);(b)多普勒彩超未见血流              根据年龄、生育要求、病变位置及范围大小选择不同的治疗方案,AVM主要的治疗方法是子宫切除和子宫动脉栓塞。育龄期有生育要求的子宫动静脉瘘患者首选治疗方法是子宫动脉栓塞,但是其远期的安全性尚存争议,而且行子宫动脉栓塞术后,妊娠的孕妇发生胎位异常、早产、产后出血及剖宫产的风险增大。        一些学者认为保守治疗适合无症状的AVM患者;还有学者认为出血少的AVM患者可以用甲基麦角新碱、促性腺激素释放激素类似物、达那唑等治疗。总之,目前对无症状的子宫动静脉瘘的治疗暂无统一的共识。        总之,子宫动静脉瘘是比较罕见且危险的临床疾病。通常,这种疾病常见于既往发生过自然流产的年轻女性,我们应该牢记行人工流产术(吸宮术)的患者,术后可能会继发子宫动静脉瘘,同时应该注意该病与其他疾病的鉴别。

随访 讨论

 子宫血管动静脉瘘在妇科实践中具有重要地位,因为一些患者可因其而致大出血,危及生命。子宫动静脉瘘可以是先天性的也可以是后天获得的,既往的子宫创伤(前盆手术、刮宫术)、不良妊娠、感染、滋养细胞疾病的治疗等都可导致获得性子宫动静脉瘘。先天性子宫动静脉瘘是由于胚胎期,原始血管结构发育异常而致动静脉之间存在异常吻合所致。而且,先天性较获得性多,甚至向周围组织结构扩散。介于本病的严重性,正确的诊断和快速适当的治疗对子宫动静脉瘘患者来说非常重要,本文报道的病例,患者在短时间内发展为子宫动静脉瘘(约3周),继发于子宫创伤(刮宫术)。        目前,采用彩色多普勒超声很容易确诊,但应注意与流产后妊娠物残留及滋养细胞疾病相鉴别。因该患血hCG值无升高趋势,故可除外滋养细胞疾病。但是,胎盘部位的滋养细胞不产生hCG,故应观察的是催乳素,该患血催乳素水平及血hCG均不支持滋养细胞疾病及流产后妊娠物残留的诊断,故可除外。因该病例的血hCG值下降,故考虑流产的可能性大。如果诊断仍不明确,可行磁共振血管造影。磁共振血管造影可清楚的显示病变与周围组织之间的关系,以及与滋养细胞疾病的鉴别。

发布于 19-01-20 02:41

1 个评论

发送