打开应用

胰腺假囊肿并下消化道出血

王医师   广西省南宁博锐医院
胰腺假囊肿 下消化道出血 消化道出血

主诉 病史

主诉新鲜血便5d现病史患者男性,50岁,因新鲜血便5d入院。既往有饮酒病史。无过敏史、手术史等。

查体 辅查

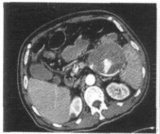
查体:心率90次/min,血压100/70mmHg,神志清楚,贫血貌,腹部平软,全腹部无压痛及反跳痛,肝脾肋下未触及。入院后血常规血红蛋白(HGB)84g/L;入院12h后再次发生新鲜血便,共5次,共500ml。心率升至124次/min,血压110/75mmHg。图1 腹部增强 CT。

诊断 处理

诊断疾病胰腺假囊肿结肠瘘便血下消化道出血1、入院后保守治疗:积极抢救,给予输红细胞悬液、止血、扩容等治疗,改善一般状态。2、手术治疗:急诊于手术室中行肠镜检查,于横结肠近结肠脾曲见大量血凝块堵塞肠腔,内镜无法通过,未见明确出血位置。后急诊行DSA检查,未见明确出血病灶。急诊行腹部增强CT(图1),结果回报:考虑慢性胰腺炎并胰体尾部假囊肿,该病变侵蚀脾动脉并脾动脉瘘,与结肠脾曲关系密切,考虑存在该病变与结肠脾曲瘘。遂行手术止血。术中见胰体尾部假囊肿,该病变侵蚀脾动脉并脾动脉瘘,且与结肠脾曲瘘,导致下消化道出血,术中行脾切除、胰体尾切除、结肠脾曲切除肠吻合术。术后病理回报示:〔腹腔〕(胰腺体尾部)慢性胰腺炎,伴假性囊肿;(结肠脾曲)慢性溃疡,多灶性,局部穿孔,穿孔处与胰腺假性囊肿相通。3、术后行呼吸机辅助治疗,20d后痊愈出院。

随访 讨论

术后随访3个月,症状消失,一般情况好。讨论:胰腺假性囊肿,因囊壁为纤维性而非上皮性,故称为假性囊肿,其囊液淀粉酶含量很高。急性或慢性胰腺炎是导致假性囊肿的主要病因。80%的胰腺假性囊肿因酒精或胆石症所致的胰腺炎引起。本病好胰腺尾部,少数病例囊肿可以位于盆腔或纵隔。其发病原因为重症胰腺炎引起胰腺坏死,胰管破裂,胰液外溢,外溢的胰液可以积聚在小网膜囊或肾前间隙。多数情况下,外溢的胰液可以随着胰腺炎的好转而吸收,超过4w时,周围就可以被纤维组织包裹,导致囊肿形成。消化道和腹腔大出血是胰腺炎最为严重的并发症之一,虽然发病率较低,不足2.5%,但因常同时合并重症感染和多器官功能不全,故病死率可高达15%~60%,因此临床应警惕此病。胰腺假性囊肿合并消化道出血原因,为胰腺假性囊肿的囊壁常为胰周与上腹部许多较粗的血管构成,如胃左动静脉、胃右动静脉、脾动静脉等。胰腺假性囊肿囊液里淀粉酶、脂肪酶和蛋白酶含量高,如血管壁暴露于较多消化液的囊液中,容易被激活的胰酶和感染侵蚀发生破裂出血。根据出血部位及破口大小不同,临床上表现为不同的急慢性出血。如较大血管破裂出血可突然出现失血性休克。出血表现主要为三种形式:(1)消化道出血,经胰管或经囊肿消化道瘘口或内引流术后经囊肿胃肠吻合口出血。(2)囊肿破入腹腔或腹膜后出血。(3)囊肿内积血或经外引流出血。囊肿消化道内瘘多发生于胃(约62%)、十二指肠球部或升部,亦可发生于横结肠。国内病例报道中胰腺假性囊肿-胃十二指肠瘘出血较多见,而形成胰腺假性囊肿-结肠瘘出血少有报道。对于病因不明消化道出血者,既往如有胰腺炎病史、腹部外伤史,或长期慢性腹痛症状应考虑胰腺假性囊肿合并消化道出血可能性。辅助检查中,DSA对于出血血管定位、出血速度判断均有较大优势,且介入下血管栓塞还能作为一种急诊治疗的临时措施。但DSA优势仅限于活动性出血过程中,如为出血间期行DSA检查,效果不明显。CT检查诊断胰腺假性囊肿的敏感度为90%,但对周围血管分辨率较低,无法定性囊肿与出血位置的关系。增强CT对假性囊肿有较好的敏感度,且对周围血管组织有较高分辨率,能明确出血位置与囊肿间关系,其特异性、敏感性及准确率分别为92%~94%、82%~100%及88%~94%;如病情允许,增强CT应作为本病诊断的重要补充。内窥镜检查对于本病诊断具有较强直观性,但对于消化道积血过多者,肠道清洁状态较差,影响内窥镜观察效果。对于较小的假性囊肿,且无并发症时,可在严密观察下进行内科保守治疗,目的为等待部分小的假性囊肿自行消散、吸收;或等待假性囊肿形成完整、较坚韧的囊壁,便于日后手术。而对于胰腺假性囊肿合并消化道出血者,手术治疗为唯一有效疗法。对于胰腺假性囊肿合并出血者,胰腺组织常合并破损,因此,手术的关键在于处理胰腺的病变,包括坏死、破损处,并妥善地缝合关闭胰腺残端,以防术后胰瘘。如假性囊肿起源于胰腺体尾部者,病变组织与脾血管分界不清、脾血管管壁受损或难以排除胰腺囊腺瘤、恶变者,有时须同时行脾切除术。由于假性囊肿的囊壁只是周围组织的炎症反应所形成,甚至部分可能为周围脏器如胃壁、肠壁、肝脏面、脾包膜的一部分,手术方法不能建立于囊肿的单独切除或剥离之上。此外,假性囊肿的囊壁有时不必强求完全切除,残留囊壁处可放置外引流管。

发布于 18-11-26 08:53

0 个评论

暂无评论
发送