打开应用

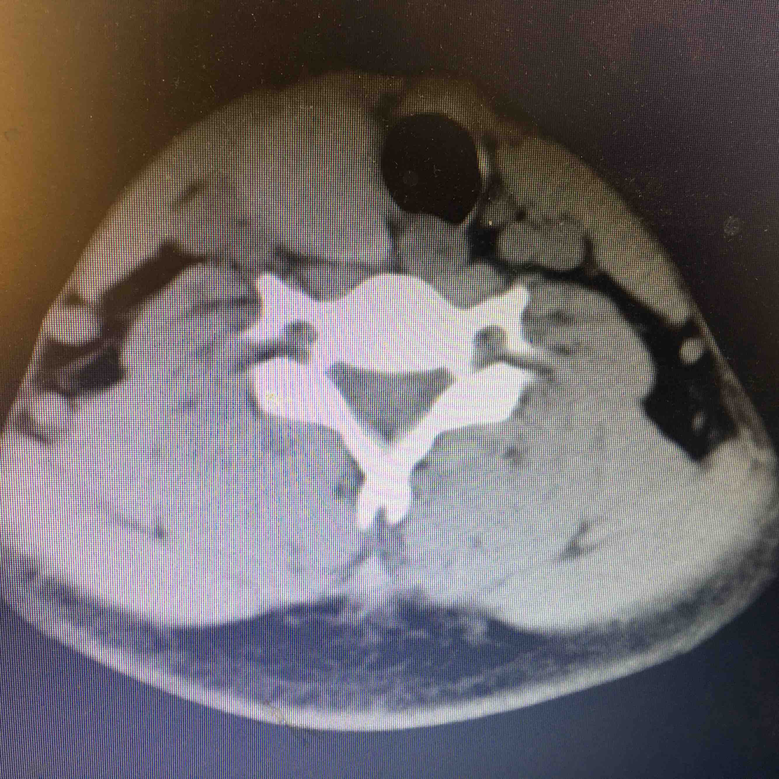
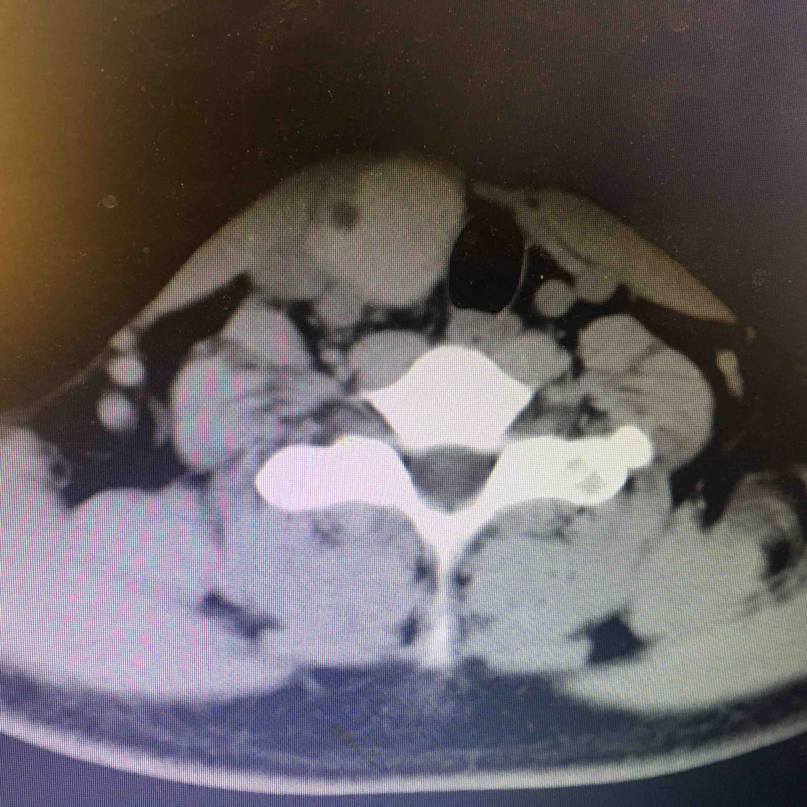
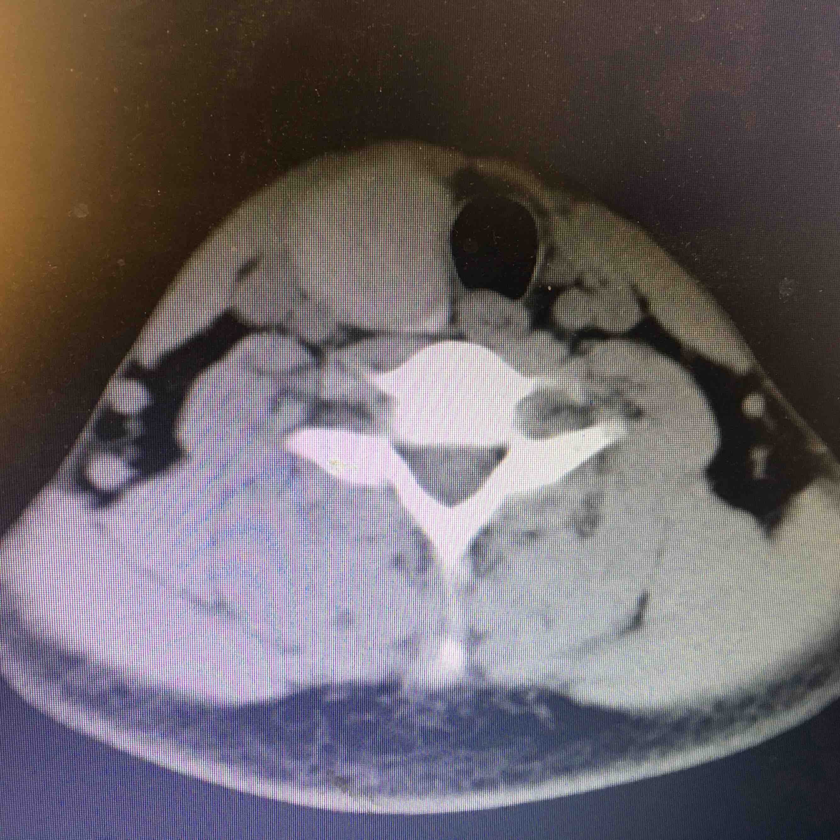
甲状腺左侧叶、峡部缺如

史医师   武汉市黄陂区中医医院
颈部肿物 无甲 肿物

主诉 病史

发现右侧颈部肿物1年余既往无甲状腺手术史,无甲状腺相关疾病史

查体 辅查

查体  颈软,气管向左侧移位,甲状腺右侧叶可触及一大小约3cm✖️3cm肿物,质韧,表面光滑,边界清晰,可随吞咽上下移动,局部压痛阴性。辅助检查  甲免五项正常。甲状腺彩超示甲状腺右侧叶囊实性病变,甲状腺左侧叶显示不出,考虑缩小。颈部CT示右侧甲状腺占位置病变,建议进一步检查,左侧及峡部甲状腺缺如,请结合临床。

诊断 处理

诊断 甲状腺右侧叶肿物 性质待查      甲状腺左侧叶峡部缺如处理 患者要求赴上级医院进一步检查和治疗

随访 讨论

先天性甲状腺一侧叶缺如非常少见,需要进一步完善相关检查,了解有无异位甲状腺组织。

发布于 18-11-24 11:53

0 个评论

暂无评论
发送