打开应用

乙肝肝硬化,原发性肝癌

魏医师   兰州市第一人民医院
心悸 原发性肝癌 肝癌

主诉 病史

患者男性,65岁,既往乙肝病史20余年,未治疗。入院前1月无明显诱因出现上腹部隐痛不活,反酸、烧心,间断性胀痛、并伴恶心,食欲减退,无发热,呕吐、腹泻、黄疸,黑便等症状,自服胃药症状无改善,一周前自觉上腹部疼痛不适加重,腹胀疲乏。6月在当地医院门诊行腹部B超检查示1,肝脏多发实性占位性2胰脾、肾未见明显异常。胃镜:食管炎,萎缩性胃炎,口服抑酸药物症状改善,为进一步详细诊治以“肝占位性病变”收住我科,患者自发病以来,无心悸,无咳嗽咳食欲减退,睡眠一股,精神状况差,大便通畅,小便正常,体重减轻3公斤

查体 辅查

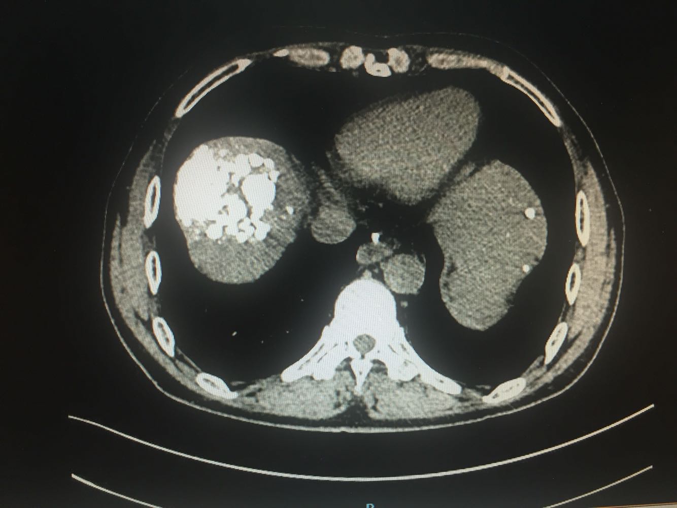
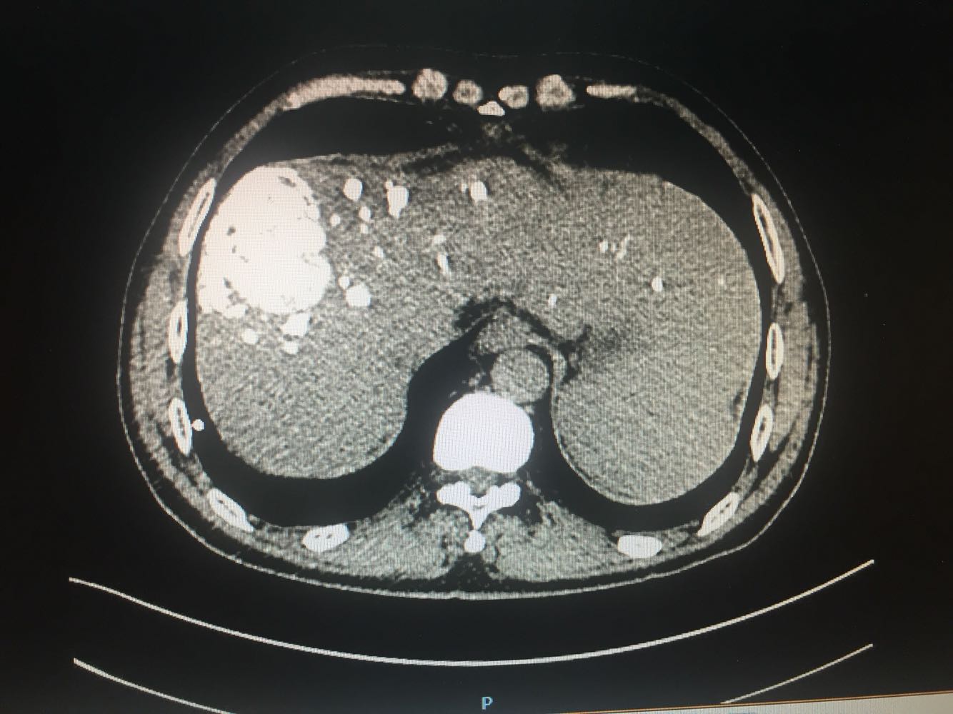
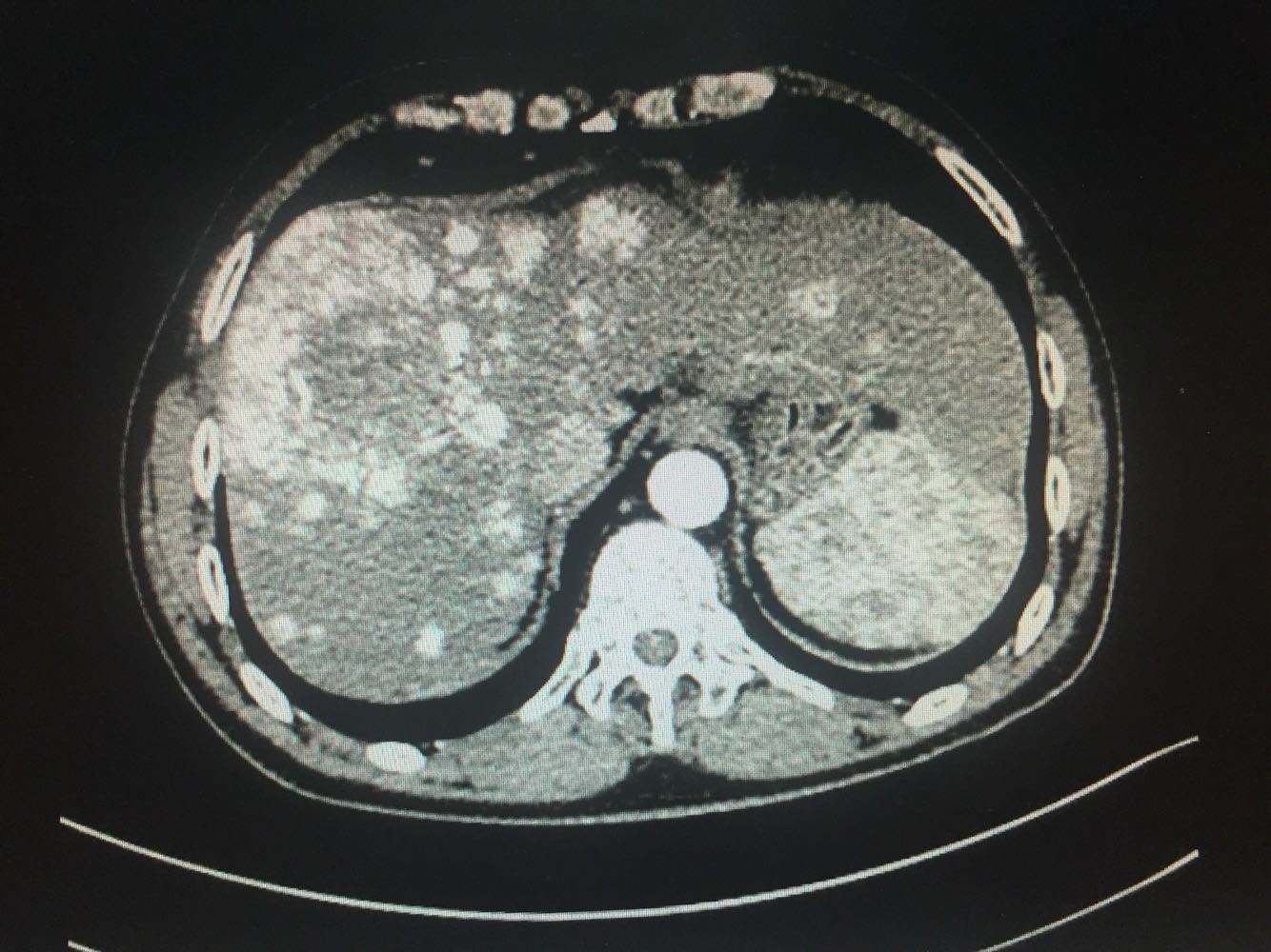
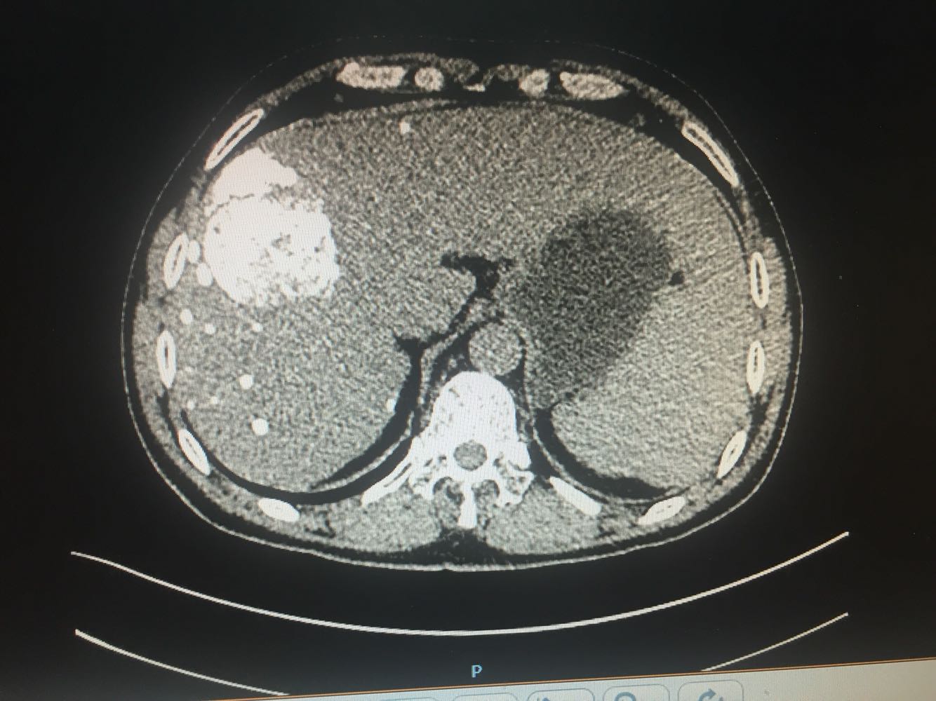
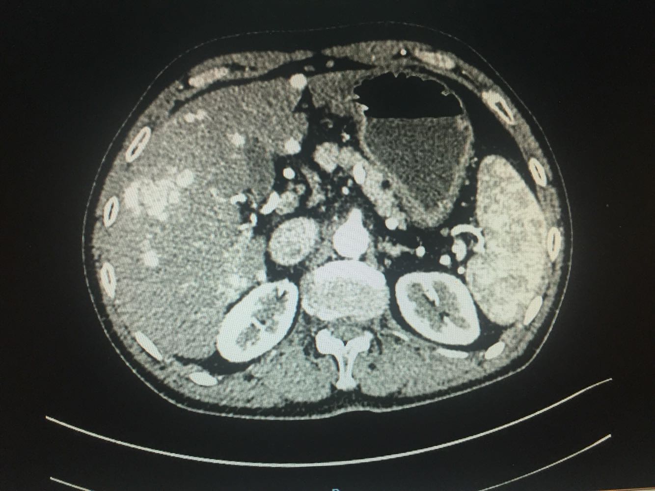
查体:体温,36摄氏度,脉搏:60次/分,呼吸,19次/分、血压,115/70mmhg,发育正常,营养欠佳,皮肤黏膜,色泽正常,双侧眼睑正常,双侧巩膜无黄染,口唇红润,双肺呼吸音清晰,心率60次/分,心律齐,心音有力,无病理性杂音。右上腹部饱满,中上腹压痛明显,肝脏肋下2cm触及,质地硬,触痛阳性,脾肋下2cm触及,移动性浊音阴性,肠音正常,双下肢无水肿 化验:血常规:白细胞计数2.9*10~9/L,中性粒细胞1.4*10~9L,红细胞计数4.03*10^12L,血小板计数76*10^9/L;生化全套。血糖4.67mol/L,总蛋白81.0g/L,白蛋白40.9g/1L,丙氯酸氨基转移酶256U/L,天门冬氨酸氨基转移酶182U,总胆红素22.0umol/L,胆碱酯酶4479U/L,Y-谷氨酰基转移酶137U/L;传染病9项:乙型肝炎病表面抗原阳性/6380,乙型肝炎病毒e抗体阳性/0.004,乙型肝炎病毒核心抗体阳性/0.008 肿瘤标志物:甲胎蛋白415.50ng/ml,乙型肝炎病毒DNA测定2.06E+07IU/ml CT:1.考虑肝右叶巨块型肝癌伴肝内多发转移,2.肝门部及腹膜后、心隔角旁小淋巴结。3.肝小囊肿。4.肝左叶増大。5.肝脏钙化灶。6.副牌。7.双肾微小囊肿

诊断 处理

乙肝肝硬化,原发性肝癌,保肝抗病毒治疗,及TACE

随访 讨论

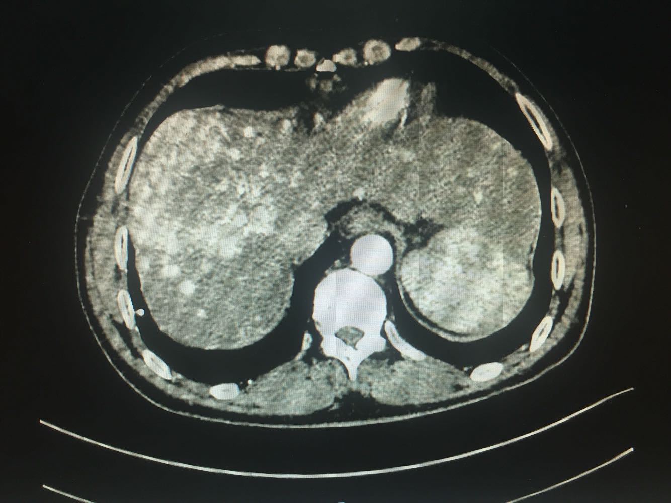
出院一月后复查,行增强CT扫描,肿瘤明显缩小,肝功能正常,乙肝病毒复制转阴,建议继续口服恩替卡韦抗病毒治疗

发布于 18-11-09 13:06

1 个评论

发送