打开应用

肺癌转移化疗

徐医师   中国人民解放军第四军医大学西京医院
肺转移癌

主诉 病史

患者,男,52岁,左肺腺癌术后1年,胸腔内转移1月余。2年前,患者觉左前胸间断性针刺样疼痛;查肺CT,左上肺占位;1年前,于外院行胸腔镜下左肺肿物楔形切除+胸膜活检+胸膜固定术。术后病理示: 左肺混合型腺癌。 1月前,复查提示胸腔内转移。

查体 辅查

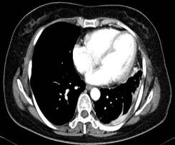
胸部CT检查提示:左肺癌术后,纵隔向左移位,左肺体积缩小,其内见多发斑片索条影,左侧胸膜增厚,前胸壁见大小约3.0x3.6cm团块状影,边缘不 整,部分肋骨及心包受侵。左前胸壁考虑:转移瘤可能。

诊断 处理

诊断:肺癌胸腔转移 治疗:行化疗,广泛期小细胞肺癌使用依托泊苷+顺铂。术后,给以复方曲肽注射液用于防治肿瘤患者化疗后周围神经毒性。

随访 讨论

目前,患者症状稳定,继续当前治疗。

发布于 19-03-18 10:36

0 个评论

暂无评论
发送