打开应用

局部进展期肾癌的手术治疗

蔡医师   双流区第一人民医院
肾透明细胞癌

主诉 病史

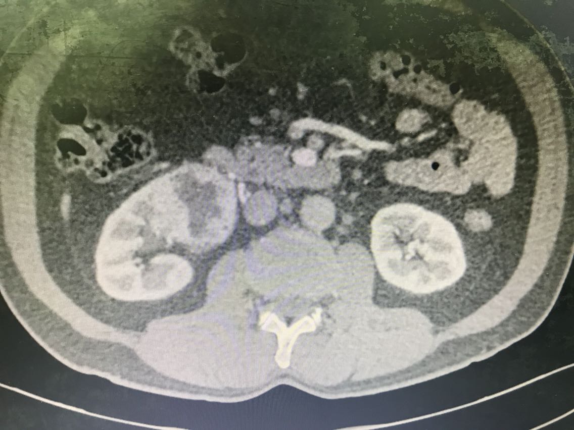
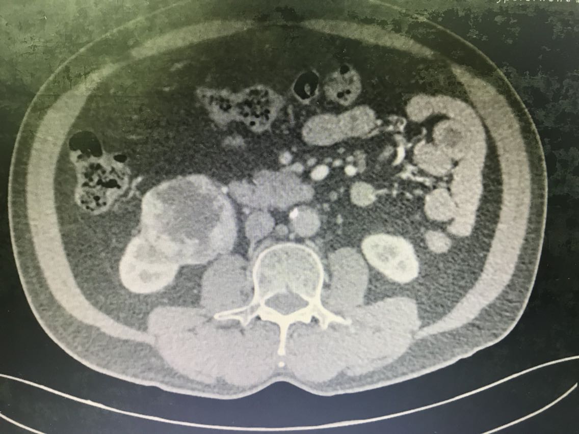
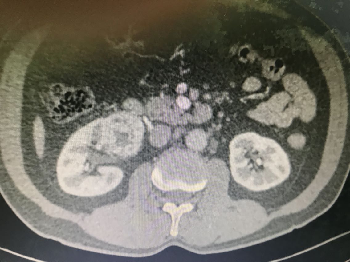
患者男性,62岁。 主诉:咯血、体检发现右肾占位1+月 现病史:1+月前,患者无明显诱因出现反复咯血,为痰中带鲜血,无胃内容物,无畏寒、发热,无胸闷、胸痛,无潮热盗汗,无恶心、呕吐,无腹胀、腹痛等不适。于当地医院就诊,行相关检查(具体报告未见)考虑“支气管扩张”,行相关治疗(具体不详)后患者咯血症状好转出院。患者于住院期间检查发现右肾占位(报告未见),无腰痛、腰胀,无血尿、蛋白尿,无尿少及排尿困难。患者为进一步诊治,于我院门诊就诊,查肝肾功能、肿瘤标志物、小便常规未见明显异常。上腹部增强CT:右肾前下份占位,考虑透明细胞癌(T3aN2Mx),左肾结石、囊肿,腹膜后多发淋巴结,肝脏右后叶下段小囊肿,腹主动脉管壁钙化。现患者为进一步明确诊断及治疗,入住我科。 既往史无特殊。

查体 辅查

查体无特殊。 辅助检查: 心电图:窦性心律,电轴左偏,左前分支阻滞,不完全性右束支阻滞。 上腹部增强CT:右肾前下份占位,考虑透明细胞癌(T3aN2Mx),左肾结石、囊肿,腹膜后多发淋巴结,肝脏右后叶下段小囊肿,腹主动脉管壁钙化。

诊断 处理

诊断:1、右肾肿物:肿瘤可能性大,其他?;2、支气管扩张。 治疗:腹腔镜根治性右肾切除 术中见右肾前下份可见肾脏肿物,大小约6.1*5。8cm,病变突出右肾轮廓外,未见明显的突破肾周筋膜。与肾周组织、右侧肾静脉、右侧输尿管上段粘连明显。

随访 讨论

患者术前CT提示右肾肿瘤T3aN2Mx,术中剖视标本见肿瘤未超过肾周筋膜,但最终分期需等待术后病理诊断。可能会出现临床分期过高的情况。

发布于 18-08-27 20:04

0 个评论

暂无评论
发送