打开应用

右侧肾脏铸型结石一例

魏医师   成都市第三人民医院
肾结石

主诉 病史

60岁男性 既往无高血压糖尿病等病史 检查发现右侧肾结石10年 10年前检查发现右侧肾结石,直径约1厘米,未给予正规治疗,近日来我院门诊,行彩超发现右肾多发结石,进一步治疗入院。

查体 辅查

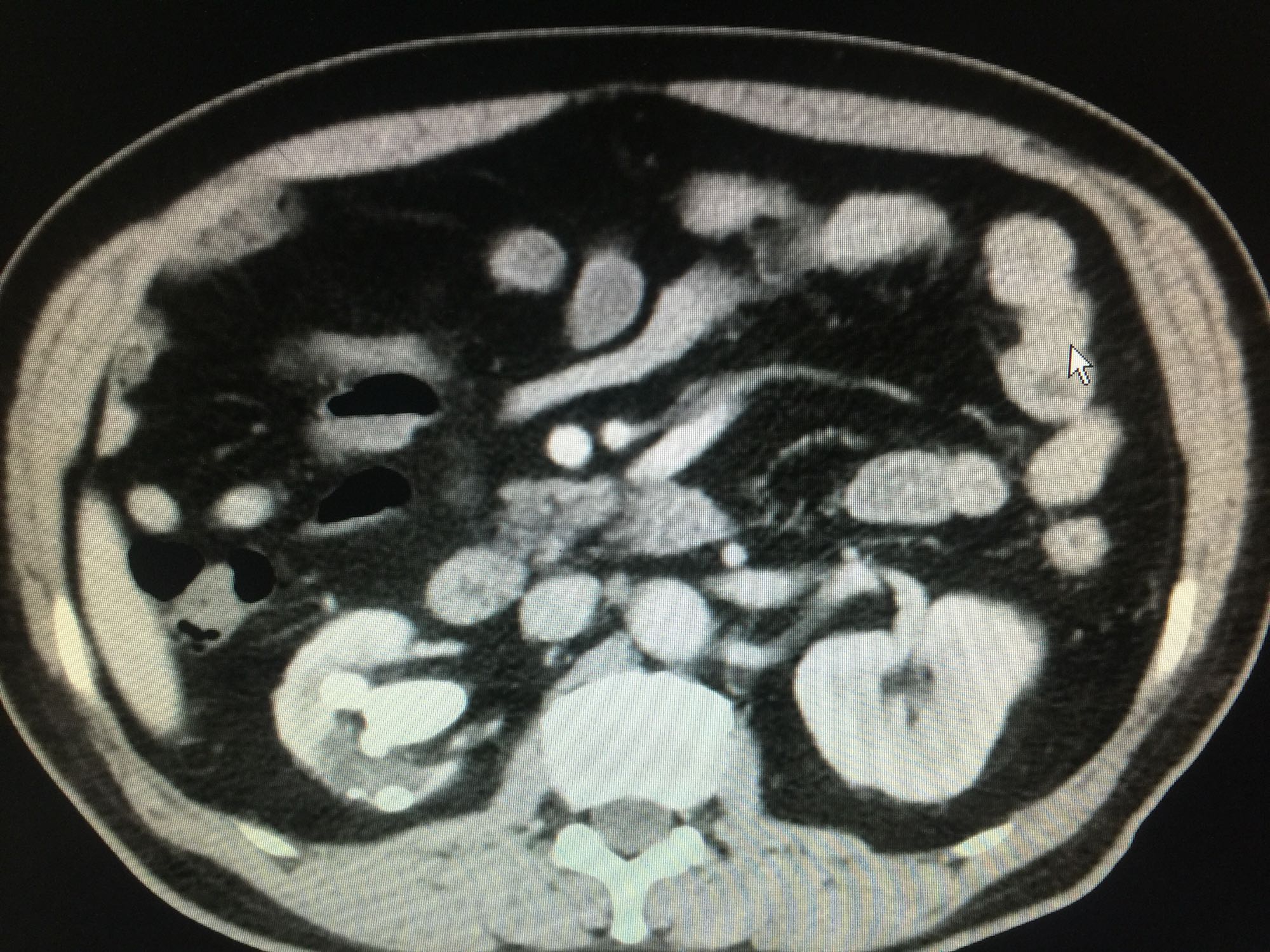
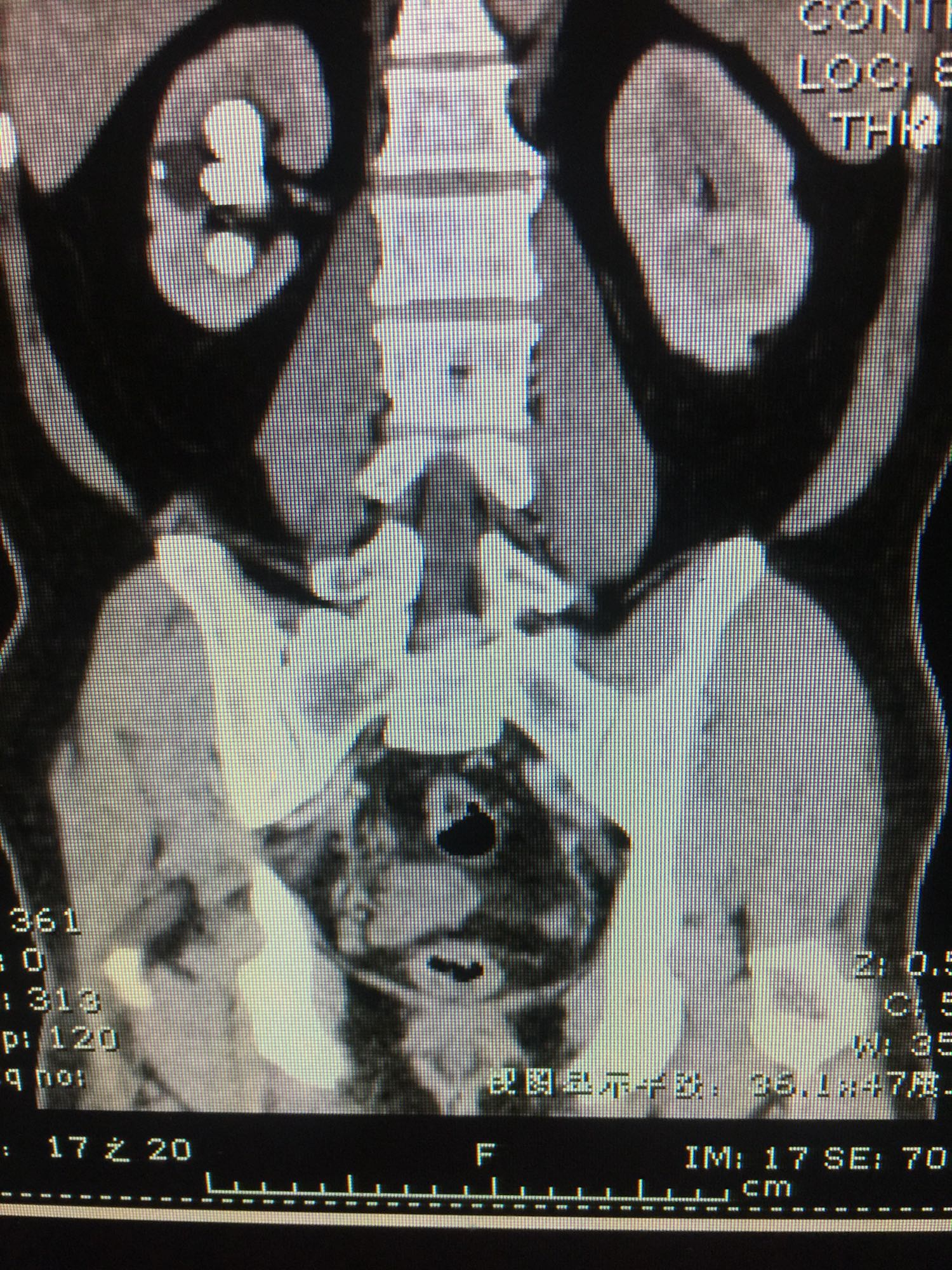
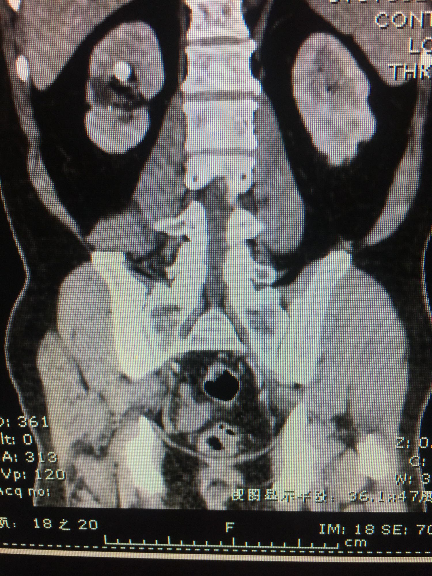
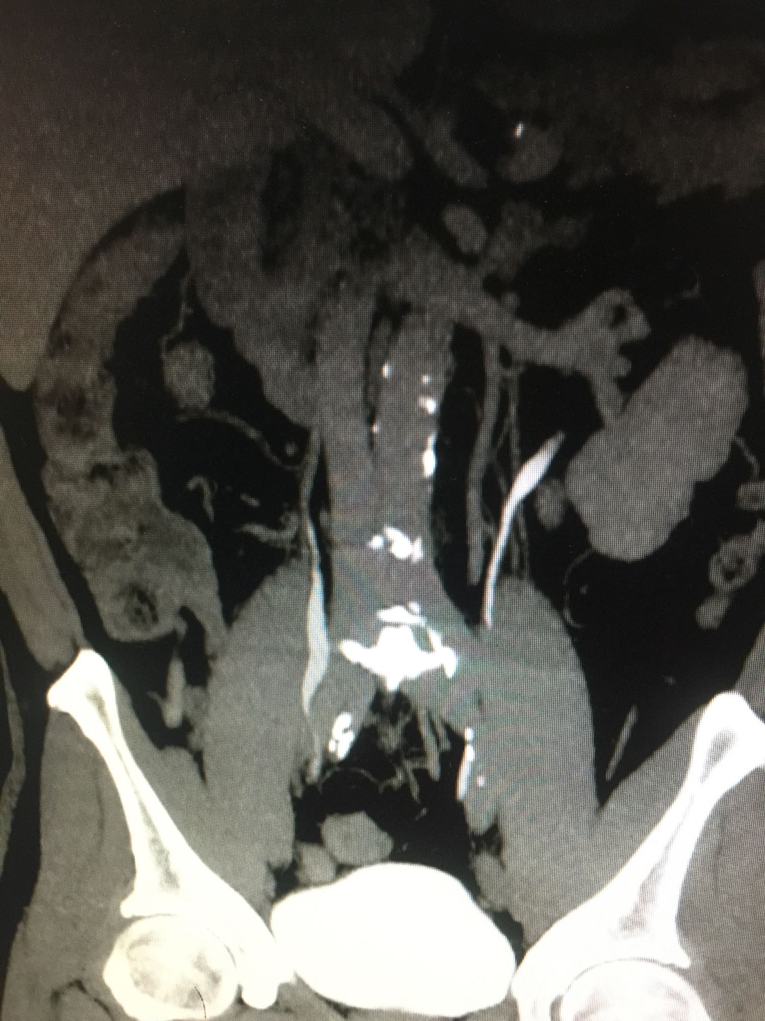
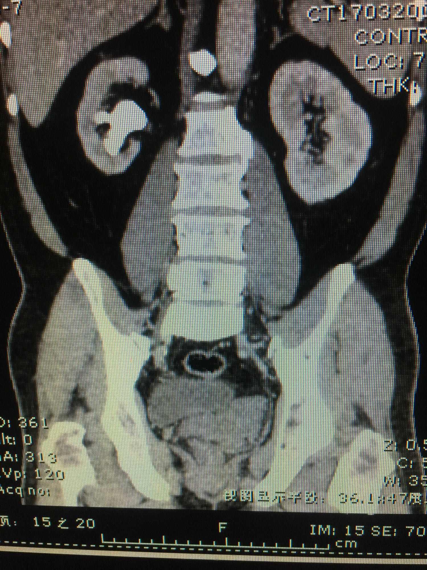
查体:双肾区无叩压痛,膀胱区无叩压痛,无叩浊,前列腺二度,质地中等,无压痛,无结节。CTU提示右肾铸型结石。ECTL 40,R14.5

诊断 处理

右肾铸型结石 予以经皮肾碎石治疗,术后复查平片未见结石残留。

随访 讨论

铸型结石以经皮肾手术作为主要的术式。但手术可能一次或多次进行。术后残留结石,术后复发等几率高。我们见过2月后几乎又长满的结石。

发布于 17-04-01 12:58

9 个评论

发送