打开应用

分享自溃性浓胸一例

陈医师   南京医科大学附属江宁医院
脓胸

主诉 病史

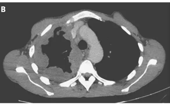
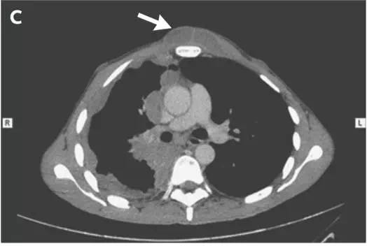
一名40岁男性患者因发热、体重减轻、呼吸困难及咳嗽3个月就诊。体格检查显示前胸壁有一压痛突出肿物,右侧乳头内下方有一小的溃疡性病变(图A)。CT扫描显示胸腔积液(图B)穿透胸壁(图C,箭头),并伴有骨骼破坏。

查体 辅查

诊断 处理

手术探查发现脓性胸腔积液;胸腔积液培养分离到结核分枝杆菌。自溃性脓胸是胸腔积脓的一种并发症,特点为脓性胸腔积液穿透壁层胸膜进入胸壁。 留置胸管3个月;患者接受利福平、异烟肼、吡嗪酰胺及乙胺丁醇治疗9个月,患者完全康复。

发布于 17-03-30 09:46

9 个评论

发送