下载或打开 医联APP 查看完整评论
立即下载
打开APP
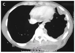
18岁男性,因左侧背部肿物进行性长大6月来诊。既往史无特殊。就诊3天前,患者左外侧胸壁疼痛处流出浆液样液体,CT示胸部多个胸膜结节包绕左肺,背部肌肉间可见大量液体积聚,与脓胸破溃处相符,脓液自此从胸壁流出。胸膜活检培养阴性,脓液培养结核分枝杆菌阳性,HIV(-)。患者结核杆菌对抗结核药物敏感,后接受标准抗结核治疗,病情逐渐好转。自溃性脓胸为结核脓胸的常见并发症,结核性脓胸的壁层胸膜破裂,排出内容物,经过胸腔,进入胸壁皮下组织。CT可显示胸腔内外的病变,可呈厚壁的包裹性积液,还可显示两者之间的瘘道。


