打开应用

胆总管结石病例一例

王医师   邹城市人民医院
胆总管结石

主诉 病史

患者中年男性,既往体健。 主诉:尿黄10余天,上腹部饱胀不适1周。 10余天前出现小便发黄,无其他不适未在意,1周前无明显诱因出现上腹部隐疼不适,伴恶心纳差,在当地卫生院以胃肠炎输液治疗4天无明显好转。为求诊治来我院就诊。

查体 辅查

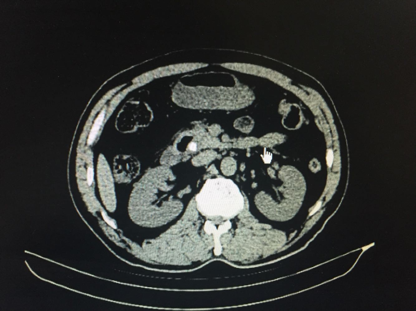
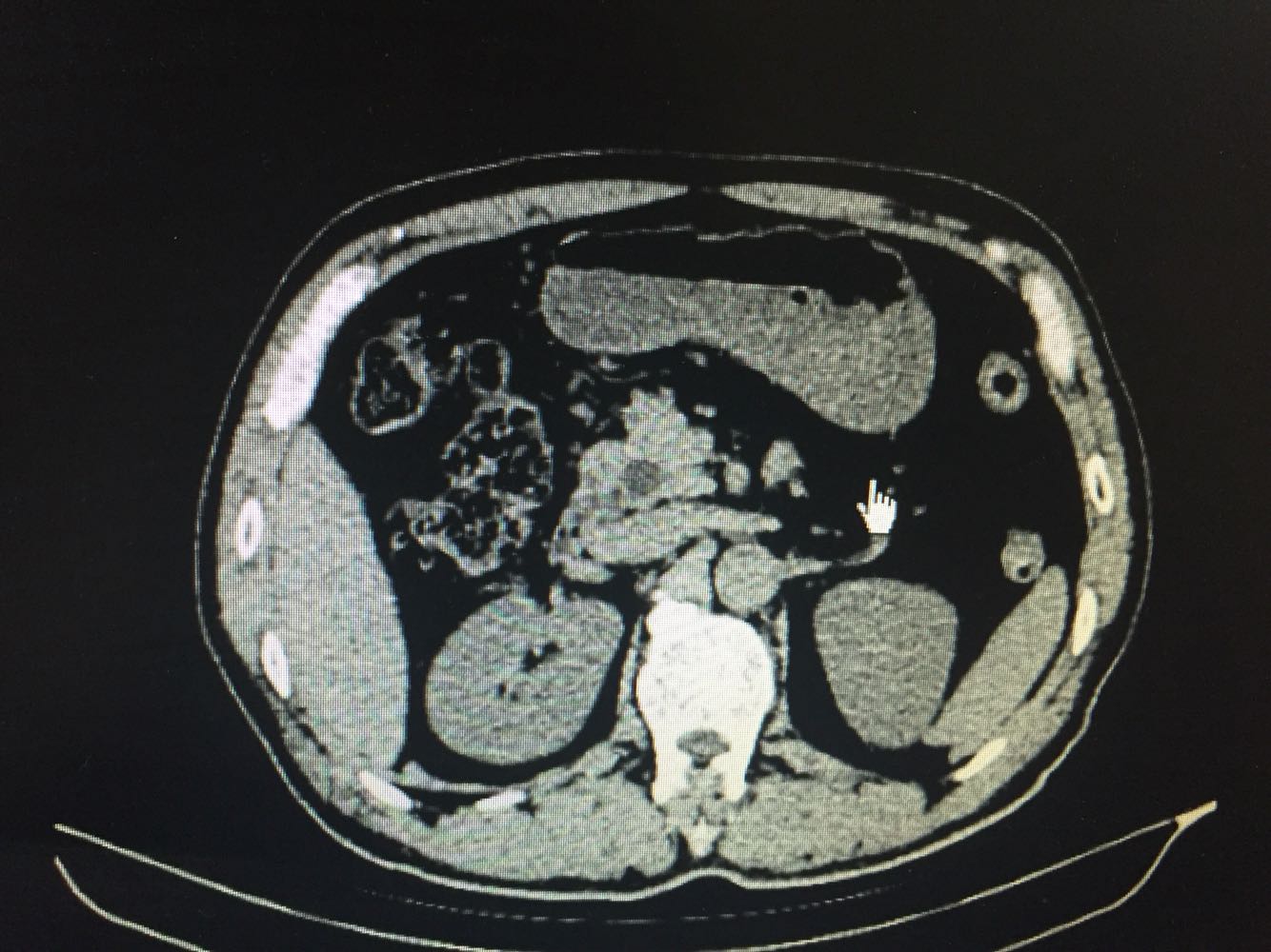
巩膜及皮肤黄染,上腹部稍韧,深压痛,余无明显异常。 上腹部CT提示胆总管扩张伴下端结石,胆囊炎症改变。血生化提示胆红素升高,以直接胆红素为主,转氨酶明显升高。

诊断 处理

胆总管结石 胆囊炎 行腹腔镜联合胆道镜胆囊切除+胆总管切开取石+T管引流

随访 讨论

微创手术确实给病人带来很多受益 术前阅片见下端结石梗阻 术中取石很顺利 出于保险起见 还是没有直接缝合胆总管 留置了T管

发布于 17-02-21 20:38

9 个评论

发送