打开应用

小肠腹内疝一例

张医师   亳州市谯城区十八里镇卫生院
小肠疝 消化道病变 小肠内异物

主诉 病史

患者,男性,56岁,因中腹疼痛、恶心和胆汁性呕吐,持续1天半,就诊。该患者在7年前接受Roux-en-Y胃旁路术。

查体 辅查

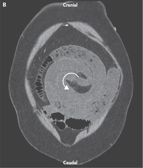
体格检查期间,该例患者心动过速、呼吸急促。 腹部检查显示腹部鼓起,膨胀,伴有严重全身性腹部压痛,反跳痛与腹膜炎表现一致。 放射X线(图A)和计算机断层扫描(CT)(图B)显示小肠呈环型扩张远端接近吻合术缝合线,近端压力降低。 通过CT可明显观察到,肠和肠系膜血管旋转,当它们穿过肠系膜空肠吻合术肠系膜缺损时形成小肠腹内疝。腹腔镜探查显示小肠腹内疝。通过处理,减小疝囊,缺损闭合。

诊断 处理

胃旁路术后与腹内疝相关的小肠梗阻可能进展为肠坏死和死亡。该例患者术后过程并不复杂,于术后第2天出院。

发布于 17-02-16 07:50

31 个评论

发送