打开应用

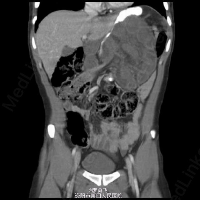
少见腹内疝——小网膜孔疝

廖医师   资阳市精神病医院
腹内疝

主诉 病史

青年男性,进食后突发上腹部疼痛,进行性加重,伴胆汁性呕吐,查体全腹部压痛,左上腹明显反跳痛。急诊剖腹探查证实过小网膜孔疝,暂无缺血坏死。术后恢复可。小网膜孔疝相对少见,及时诊断处理有助于避免肠缺血肠坏死等严重情况

发布于 14-12-27 11:12

1 个评论

发送