打开应用

先天性腹内疝引发肠根阻一例

孙医师   中国人民解放军第四军医大学西京医院
腹内疝

主诉 病史

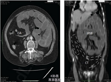
患者表现为腹痛腹胀、肛门停止排气排便、恶心呕吐 2 天。既往有高血压病史 10 年,慢性阻塞性肺部疾患 6 年,2 型糖尿病 4 年。无腹部手术史,无创伤、黄疸、直肠出血、体重减轻。体格检查表现为腹部膨隆、肠鸣音亢进、全腹压痛、腹肌软、无反跳痛。直肠指检发现壶腹部空虚。实验室检查为白细胞 12,500K/L,血糖 150mg/dL。影像学检查提示左侧小肠肠腔扩张,远端回肠和结肠塌陷(下图 1)。于是进行探查手术。术中发现扩张的空肠和回肠袢被腹膜囊包绕,位于胃和横结肠之间。末端回肠嵌顿进横结肠系膜正下方,且大约有 4cm 回肠嵌进盲肠,产生扭曲和梗阻。由于到该处解剖部位没有形成内疝的可能性,因此,该病例考虑为先天性腹内疝引发的肠梗阻。梗阻解除后,小肠被放置在腹腔内的正常位置(下图 2)。

发布于 15-01-23 12:56

1 个评论

发送