打开应用

良性粘液性囊性肿瘤一例

张医师   亳州市谯城区十八里镇卫生院
消化不良 消化道病变 病理科

主诉 病史

患者,女性,22岁,因上腹部不适2个月就诊。

查体 辅查

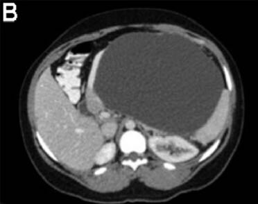
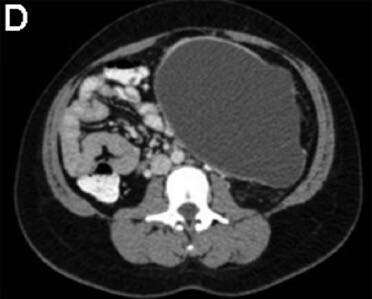
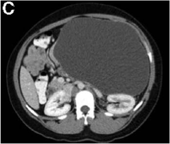
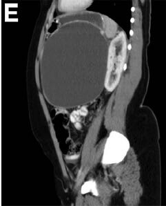
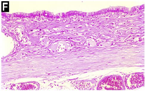
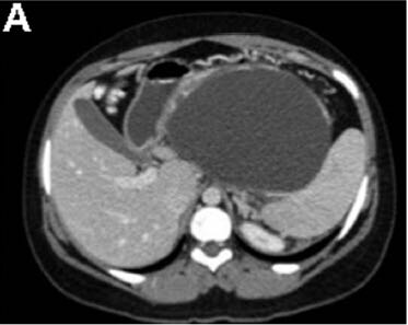
3个月前,她被电击中摔伤了腹部。当时这引起了上腹部疼痛;然而,她没有立即去医院直到3个月后才就诊。 该患者之前没有明显的病史或手术史,是一个非吸烟者,偶尔饮酒。 身体检查发现该女性健康,营养状况良好,唯一值得注意的是,腹部浅触诊时可于上腹部触及一个明显的肿块。 血常规检查包括全血细胞计数,尿素氮,电解质,葡萄糖,以及肝功能检查,均在正常范围内。血清淀粉酶66U/L,白蛋白43g/L,HIV 1/2 Ab/Ag酶联免疫吸附试验为阴性。 腹部对比增强计算机断层扫描显示连续轴向截面如图A-D。图E为矢状面。 剖腹手术时吸出低黏度,清澈,囊液,囊液生化分析显示,淀粉酶58903U/L,乳糖脱氢酶904U/L,蛋白质<10g/L。未获取囊性癌胚抗原和CA-19-9。在剖腹手术时对多个囊壁活检取样(图F)。

诊断 处理

良性粘液性囊性肿瘤

随访 讨论

计算机断层扫描证实源自胰尾的一个大型,单房,囊性肿块,伴未分隔的附壁结节,或囊性钙化。影像学结果,临床病史,和囊液分析支持胰腺假性囊肿的诊断。出人意料的是,囊壁活检显示为良性粘液分泌柱状上皮,雌激素受体阳性,与良性粘液性囊壁肿瘤(MCN)一致。最终,执行远端胰腺切除术,并且此后恢复良好。鉴于MCNs已经确定的恶变可能(6%-27%的病例),这例患者“有惊无险”,按照计划因假囊肿接受胰囊肿胃吻合引流术可以避免恶性肿瘤转化的严重后果。

发布于 17-02-04 09:35

11 个评论

发送