打开应用

胰腺粘液性囊腺瘤一例

张医师   中国医学科学院肿瘤医院
胰腺粘液性囊腺瘤

主诉 病史

女性,48岁,左腹胀痛3个月。

查体 辅查

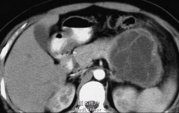
CT表现:胰腺体尾部囊性占位性病变,体积大,边界清楚;周边囊壁及内部的不规则分隔、壁结节,增强扫描均呈渐进中度强化。

诊断 处理

行开腹胰体尾联合脾脏切除,术后病理: 胰腺粘液性囊腺瘤

随访 讨论

胰腺囊腺瘤占胰腺肿瘤的1%~10%,有浆液性囊腺瘤和黏液性囊腺瘤两类病理分型。好发于女性,胰尾部多见。 鉴别诊断:胰腺假性囊肿;胰腺癌囊变;胰腺实性-假乳头状瘤。

发布于 15-08-25 23:48

0 个评论

暂无评论
发送