打开应用

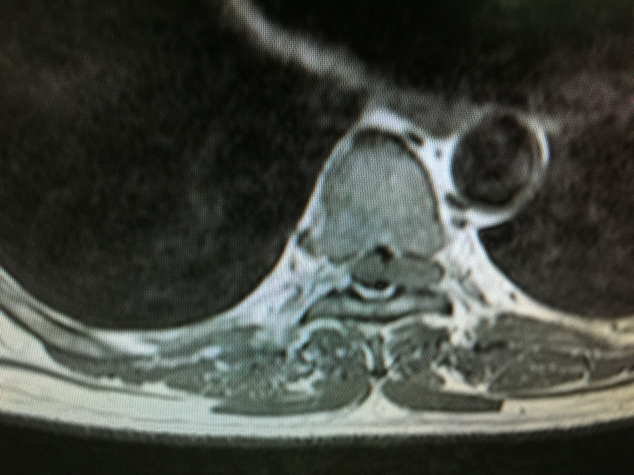
影像解读之十五:神经鞘瘤?

李医师   沈阳维康医院
神经鞘瘤

主诉 病史

男,55岁,以头晕伴走路不稳7天”入院。 现病史:7天前无诱因出现头沉,走路不稳,走路踏棉花感,左右摇摆,无意识障碍;近1个月便秘,夜间尿床2次;近3年体重减轻约10斤。 既往史:无特殊。

查体 辅查

查体:BP:180/90mmHg,心肺腹未见异常!神清,言语流利,两瞳孔等大正圆,直径3.0mm,光敏,两眼活动自如;视力正常;复视,无眼震,共济失调阴性。四肢肌力5级,肌张力正常,左侧T8-T12痛温觉减退,巴氏征R-L-。

诊断 处理

诊断:1.高血压3级极高危2.椎管内占位性病变,神经鞘瘤? 入院:降压、择期手术。

随访 讨论

随访中,有病理结果上传!

发布于 16-11-25 13:11

8 个评论

发送