下载或打开 医联APP 查看完整评论
立即下载
打开APP
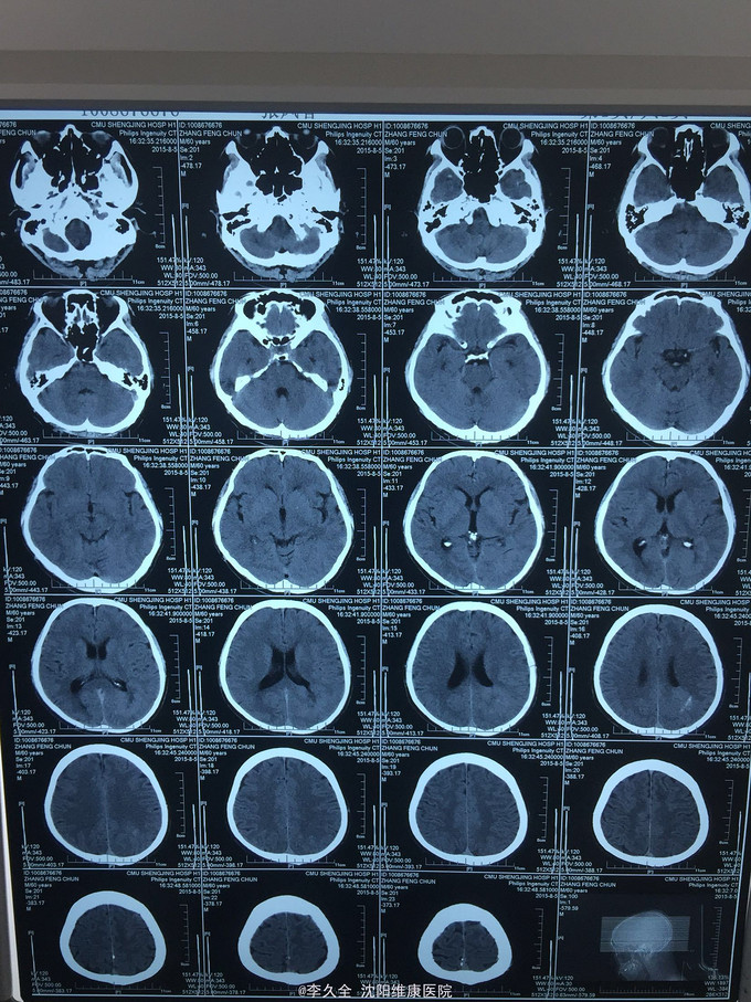
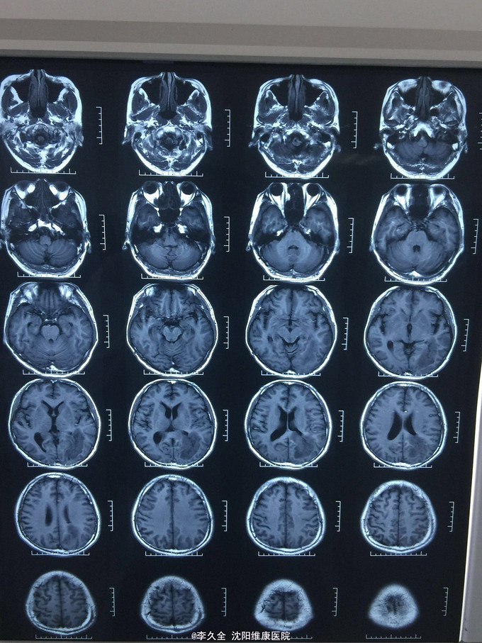
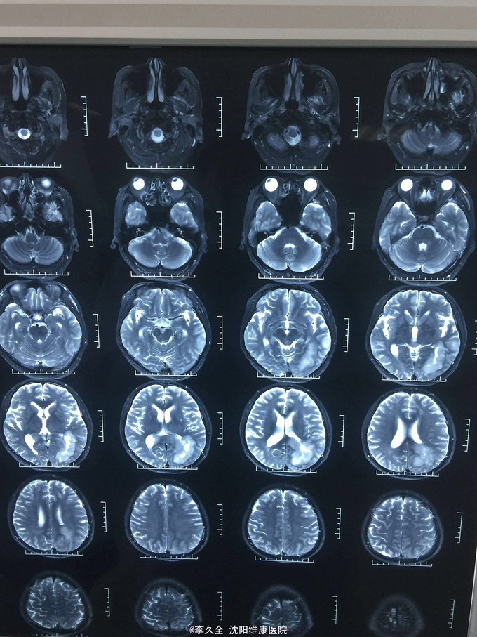
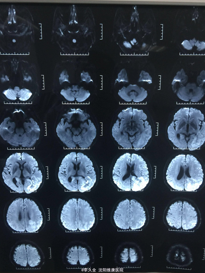
男,62岁,以头晕、视野缺损、记忆力减退、失写、失算7个月入院! 现病史:去年7月出现头晕,就诊于医院,行头CT:代诉未见异常,口服药物无效,后出现右侧视野缺损,走路撞墙、撞门,就诊于当地医院、北京协和医院,考虑“㬵质瘤”,近3个月出现近事遗忘为主,平时写字不会,计算力下降,不认识人! 既往史:2型糖尿病5年!


查体:BP:150/80mmHg,心肺腹无异常。神清,不能言语,失写、失算、失认,双曈孔等大正圆,直径3.0mm,光敏,四肢能够活动,右侧肌张力增高,巴氏征R+L-,颈强3横指,克氏征阳性! 影像MR:








1.颅内占位,胶母可能大! 2.2型糖尿病
1.患者家属拒绝手术及病理、治疗! 2.在院患者,随访中!