下载或打开 医联APP 查看完整评论
立即下载
打开APP
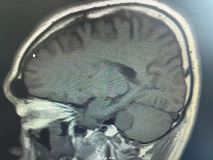
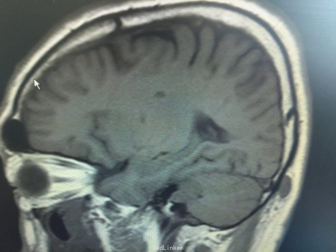
男,52岁,以“左耳鸣、听力下降1年余”入院。 现病史:1年余前看电视时出现左耳鸣、听力下降,左耳听电视声音时听不清,较右侧明显下降,未在意,之后听力下降逐渐至丧失! 既往史:既往高血压、糖尿病病史,长期吸烟病史。 家族史:无特殊!
查体:BP:150/90mmHg,心肺腹未见异常,神清语明,左耳听力丧失,无面瘫,双瞳孔等大正圆,直径约3.0mm,光敏,四肢肌力5级,肌张力正常,巴氏征R-L-。







1.左侧听神经瘤
在院患者,已请外科会诊,随诊。