下载或打开 医联APP 查看完整评论
立即下载
打开APP
打开应用
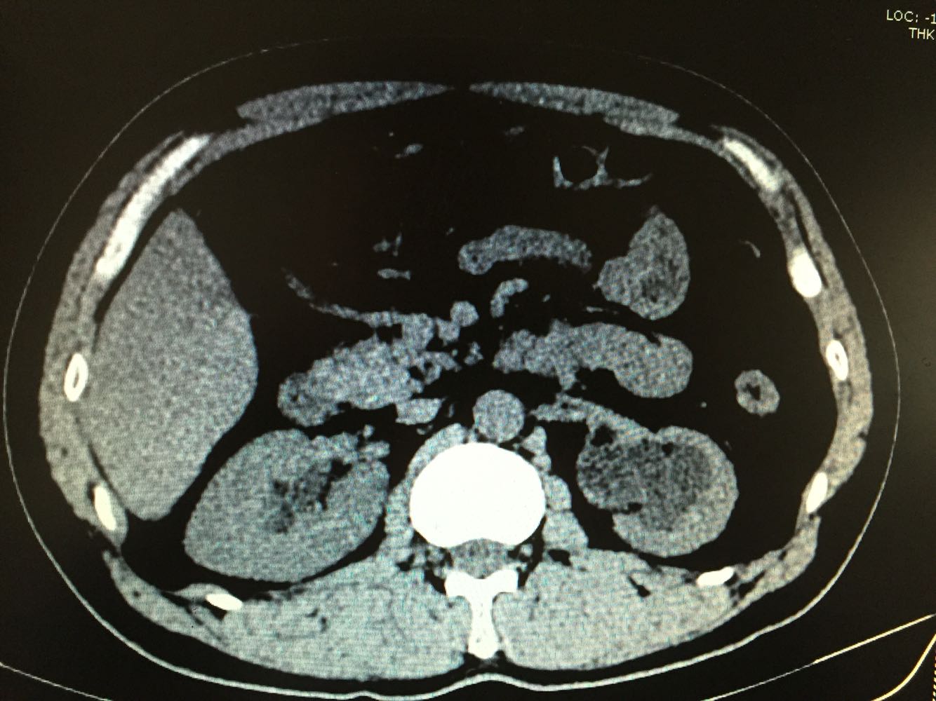
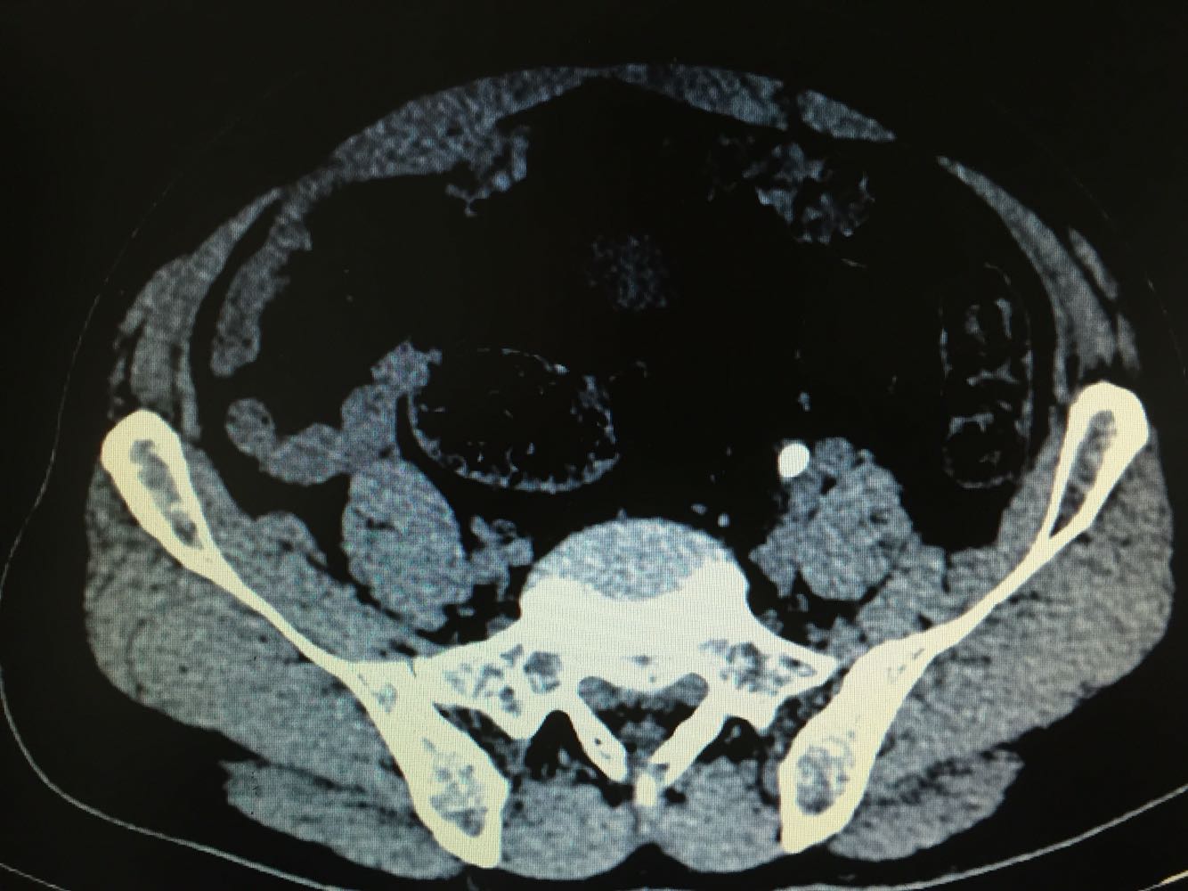
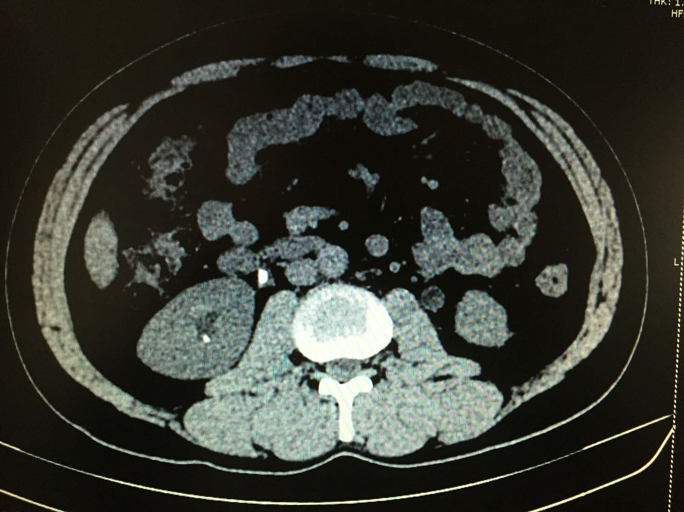
双侧输尿管结石
徐医师
成都市第三人民医院
输尿管结石
主诉 病史
体检发现双侧输尿管结石,双肾积水1周,尿量无明显变化
查体 辅查
无明显阳性体征!
诊断 处理
双侧输尿管结石,双肾积水
随访 讨论
治疗方案,拟先行左侧输尿管镜下碎石,再行右侧输尿管软镜下碎石术。
发布于 16-10-30 13:29
医联推荐你看
双侧输尿管结石
双侧输尿管结石
双侧输尿管结石
共
4
个评论
查看更多评论
发送
0