下载或打开 医联APP 查看完整评论
立即下载
打开APP
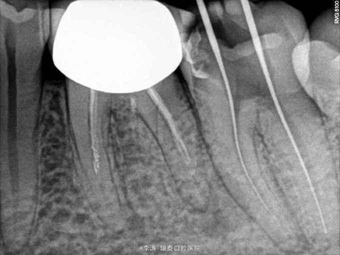
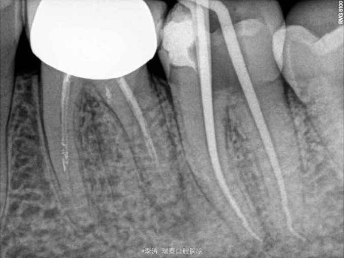
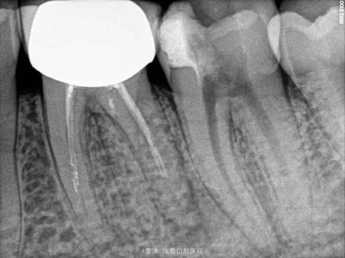
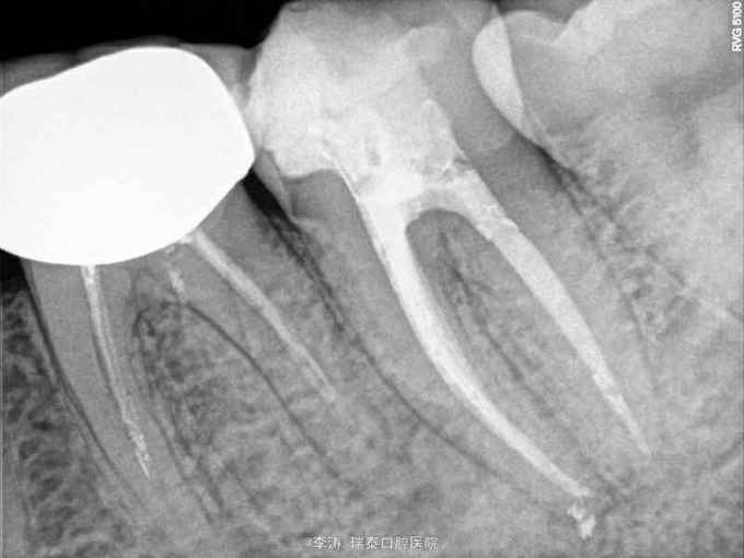
左下后牙龋坏要求补牙
37牙近中深龋,冷-,叩-,x线片近髓

37牙去龋未净时穿髓 行根管治疗,开髓,根管预备,但根管预备封药后两天开始疼痛,叩痛明显,去除封药,未见明显分泌物,根管荡洗干燥后重新封药,但症状一直持续,自服止疼药后缓解,两周以后疼痛消失予以根充





根管封药后疼痛的原因?药物导致的根尖周炎?合创伤?预备时器械超出根尖孔导致的组织损伤?细菌感染? 怎样才能做到每次就诊封药后不疼?这真是一个值得考虑的问题