下载或打开 医联APP 查看完整评论
立即下载
打开APP
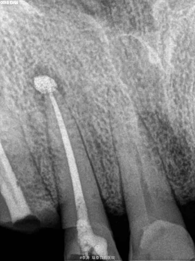
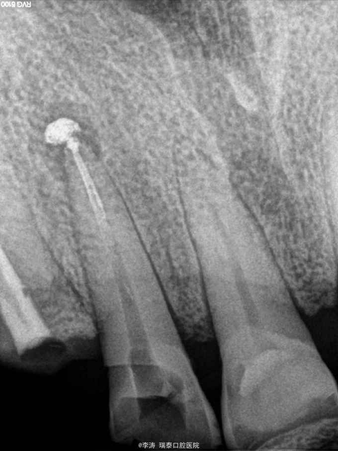
右上前牙疼痛不适1周,自诉半年前曾行根管治疗
13叩+,松-,x线片示13牙根尖暗影,根尖部有约1mm高密度影像,根管内充填影像

怀疑超充引起根尖炎症,建议行根管再治疗或者根尖切除术。患者选择先保守治疗,遂开髓。 术中根管内未见牙胶尖,大量vita糊剂充填于根管,遂行vita糊剂去除,拟行常规根管再治疗术。

1,术前病史和详细检查很重要,要是病人直接选择根尖切除术,我可能真的是百口莫辩。但这种情况真的是防不胜防,只能自求多福吧 2,超充的vita糊剂很难去除,可能做了再治疗后还是得采取根尖手术,不知道大家对去除超充糊剂有什么建议 3,充vita糊剂半年就发生了炎症,这也是我不太明白的,可能是根管预备消毒没做好,也可能是vita糊剂的效果还有待观察。