下载或打开 医联APP 查看完整评论
立即下载
打开APP
患儿女,1岁8个月,因“面色苍黄1年余,脾大3个月”入院。患儿1年前逐渐出现面色苍黄、活动减少,吃奶差,尿布黄染,血红蛋白 30~50g/L,间断输注压积红细胞,100ml/次,共20次,输血问隔为1-2个月。3个月前出现腹部膨隆,于当地医院查腹部B超示脾大。
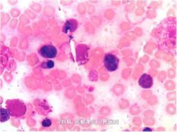
重度贫血貌,巩膜无黄染。心音有力,无杂音,双肺未见异常。肝肋下6cm,质硬,脾Ⅰ线5cm,Ⅱ线6cm,Ⅲ线1 cm,质硬。血常规:WBC 12.89×10^9/L,RBC 1.38×10^12/L,Hb 32g/L,PLT 152×10^9/L,MCV 78.8fL,MCH 28.3Pg,MCHC 359g/L,网织红细胞 0.83%。血涂片:晚幼红细胞。生化检查:总胆红素 24.7μmol/L,结合胆红素 6.8μmol/L,结合珠蛋白 51.4mg/dL。骨髓涂片:粒/红 0.42/1.00,红细胞系增生明显活跃,偶见双核幼稚红细胞;骨髓活检:造血组织65%,红细胞系增生占优势。染色体核型分析:46,XX。

诊断为:先天性红细胞生成异常性贫血。 入院后予输血及对症处理,患者家属放弃治疗,要求自动出院。
先天性红细胞生成异常性贫血是一类罕见的遗传性疾病,主要特点是慢性难治性贫血,红细胞系无效造血及幼稚红细胞典型形态学改变。患者通常存在不同程度的贫血、黄疸、肝脾大及继发血色病。