下载或打开 医联APP 查看完整评论
立即下载
打开APP
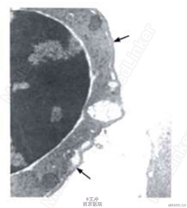
患者女,32岁,汉,因“巩膜黄染、面色苍黄20余年”入院。自幼巩膜黄染、面色苍黄,外周血HGB波动于60~80g/L,多方就诊未明确诊断。1个月前因“胆囊炎”查WBC 4.7×109/L,HGB 71 g/L,PLT 273×109/L。骨髓红系细胞比例占0.712。B超示脾脏肿大。疑溶血性疾病转至我院。 既往史无特殊。月经正常,7年前生育一正常男婴。父母及两位胞姐无类似症状。 查体:发育正常,贫血貌,巩膜黄染。心、肺未见异常。肝肋缘下2 cm,脾肋缘下未触及。 血常规:WBC 4.94×109/L,HGB 70 g/L,PLT 280×109/L.红细胞平均体积(MCV)98.1 fl,红细胞平均血红蛋白浓度(MCHC)330 g/L,网织红细胞(Ret)1.59%,Ret绝对值0.0343 x1012/L。 骨髓组织病理检查:增生极度活跃,粒红比例减小。 结合病史及实验室检查,确诊为CDA-Ⅱ即先天性红细胞生成异常性贫血II型。

