下载或打开 医联APP 查看完整评论
立即下载
打开APP
患者33岁,因剖宫产术后1年,切口流液半年余入院。患者于2013年11月孕39周因“产程阻滞”于外院行剖宫产1次。术后自觉腹部切口愈合欠佳,腹部切口偏右侧有一凹陷,半年前该凹陷无明显诱因出现少量血性或脓性分泌物,伴周围压痛,无异常阴道流血不适。
专科查体:可见下腹一陈旧性约8cm剖宫产切口,切口偏右侧可见一大小约0.5*0.5cm凹陷,表面可见少量带异味分泌物,伴周围明显压痛,无反跳痛,未扪及波动感。外阴正常,阴道畅,可见少量白色分泌物,宫颈稍大,轻糜,宫体稍大,表面光滑,活动度可,可以压痛,双侧附件未扪及明显异常,未触及明显波动感。
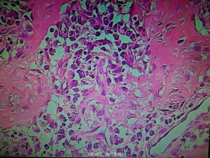
诊断:腹部切口愈合不良;剖宫产术后。 予行腹部切口二期缝合术。予术中予常规消毒铺单,于腹部切口右侧窦道口处切开皮肤一周,向下完整切除窦道,深达筋膜层,切面新鲜,电凝止血,用双氧水、生理盐水、灭滴灵依次冲洗切口,4号丝线间断全层缝合皮下及皮肤。术后病理(如图):腹部慢性炎伴异物多核巨细胞反应。


患者术后恢复可,已出院。 患者半年来反复于外院就诊,予定期换药、抗感染等治疗,一直症状反复,严重影响其生活质量。遂予二次切口缝合术。