打开应用

上颌第二磨牙根管内陈旧性折断器械一例

林医师   深圳三九齿科门诊部

主诉 病史

要求补牙。

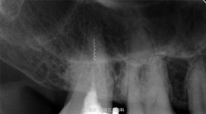
查体 辅查

17残冠,X片示:腭根内见折断根管输送针。

诊断 处理

显微镜下超声器械取出陈旧性折断器械,再次根管预备封药。

随访 讨论

早些年根管内断针的病例将多。

发布于 16-01-10 22:26

13 个评论

发送