打开应用

根管内陈旧性折断器械一例

林医师   深圳三九齿科门诊部

主诉 病史

前牙不适

查体 辅查

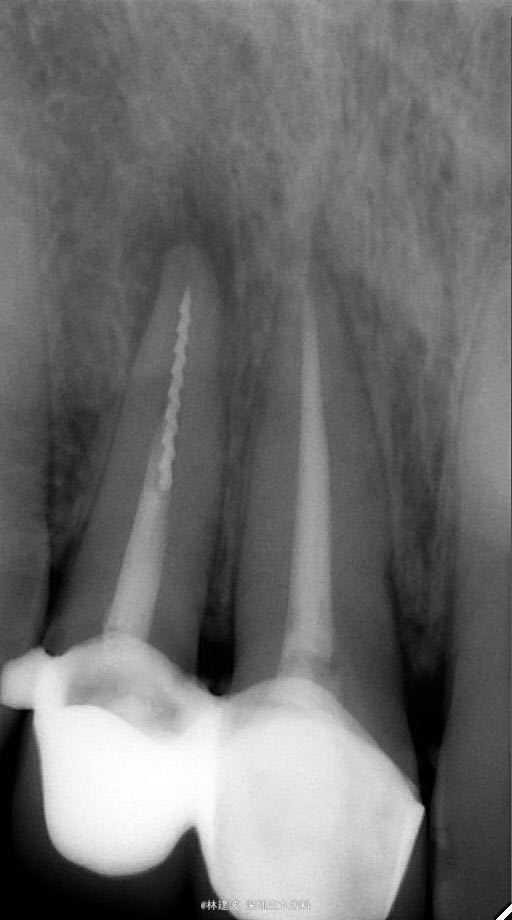
12,11连冠,12继发龋。X片示:12根管内折断器械,根尖周阴影。

诊断 处理

显微镜下超声器械取出折断的根管锉,再次根预备封药。

随访 讨论

预后良好。

发布于 16-01-10 22:21

10 个评论

发送