女,50岁6月,因“腰痛11个月”入院。患者于11月前无明显诱因出现腰痛,腰痛呈间断性,疼痛以活动时明显,休息后可部分缓解。无头昏、头痛,无胸痛、腹痛,无四肢乏力,无发热、盗汗。遂于大邑县人民医院就治,具体治疗不详。5个月前腰痛加重严重时不能起身,活动后疼痛加重,卧床休息稍缓解。遂于我院门诊就诊,行SPECT全身骨显像示:L2-3椎体代谢增高,良性可能大。其余骨骼未见异常征象。给予“利福平”、“异烟肼”、“乙胺丁醇”抗结核治疗,自觉症状较前有所改善。于2015-11-17于我院行数字化腰椎X片及CT三维重建:腰2-3椎骨质破坏,结核?现患者为求进一步治疗来我院救治,门诊以“腰2-3质破坏,结核”收入我科。
查体:T:36.6oC,P:69次/分,R:20次/分,BP:119/87mmHg。神志清楚,无病容,皮肤巩膜无黄染,全身浅表淋巴结未见肿大。。颈静脉正常。心界不大,心律齐,各瓣膜区未闻及杂音。。胸廓未见异常,双肺叩诊呈清音,双肺呼吸音清,未闻及干湿啰音及胸膜摩擦音。腹部外形正常,全腹柔软,无压痛及反跳痛,腹部未触及包块,肝脏肋下未触及,脾脏肋下未触及,双肾未触及。双下肢无水肿。 视:脊柱生理弧度正常,无侧弯及后凸畸形,皮肤完整,无红肿、破溃及流脓,余肢体未见异常;触:脊柱各棘突无压痛及叩痛,深部叩击痛阴性,双下肢感觉正常,余肢体未见异常;动量:腰椎活动稍受限,双髋关节、膝关节活动正常。四肢肌张力不高,双下肢屈髋、屈膝肌力5级,其余肢体肌力正常,双侧膝腱反射活跃,双侧跟腱反射正常引出。直腿抬高试验阴性,股神经牵拉试验阴性,双侧4字试验阴性。病理反射阴性。 、辅助检查:腰椎 X片及CT三维重建:腰2-3椎骨质破坏,结核? 全身骨显像:L2-3椎体代谢增高,良性可能大。









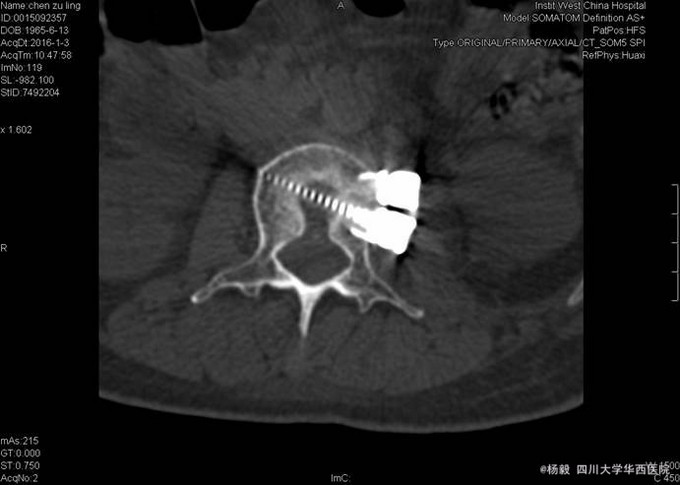
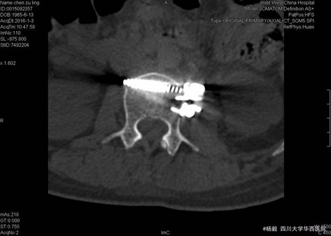
综上初步诊断:腰2-3椎结核 入院后完善血常规、生化1+4、血沉、CRP及胸椎、胸部及腰椎X片、CT骨三维成像扫描、MRI、心电图等检查。给予利福平、异烟肼、乙胺丁醇等抗结核治疗。给予对症支持治疗。 在全麻下行经左侧腹膜后入路腰2-3椎病灶清除+取自体髂骨植骨融合钉棒系统内固定术,术中见:L2.3椎体上下缘骨质破坏,缺损,空洞形成,周围骨硬化严重,未见明显死骨形成,椎间盘受累及,未见明显干酪样组织、死骨。手术顺利,术中麻醉平稳,术后安返病房。术后组织送病检。




请问结核病灶清除手术适应症是什么?