下载或打开 医联APP 查看完整评论
立即下载
打开APP
患者男,60岁,因“反复双下肢疼痛麻木4+年,加重伴腰痛4+月”入院。 入院前4+年患者无明显诱因出现右下肢麻木疼痛,呈持续性放射痛,无腰痛及下肢活动受限,4+月前患者无明显诱因出现双下肢反复交替麻木疼痛,呈放射性疼痛,双侧大腿后方小腿外侧及足背感觉麻木,以右侧较重,同时出现腰骶部疼痛,疼痛明显时患者出现跛行步态伴腰部活动受限, 今进一步治疗遂入我院。


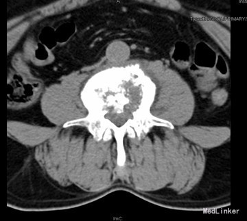
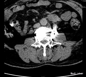
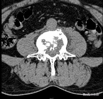
查体:腰4、5棘突轻度叩压痛,双侧大腿后外侧小腿外侧及足背感觉功能减退,以右侧明显。 辅查:CT示腰4椎体骨质破坏并增生、硬化改变,以骨质破坏为主,左侧椎旁软组织肿块形成,结核?肿瘤待排。腰4、5腰5骶1椎间盘突出。腰椎退行性变。MRI示腰4椎体骨质破坏,性质?腰4、5腰5骶1椎间盘突出,腰椎退行性变,双侧髂骨信号不均匀,性质?


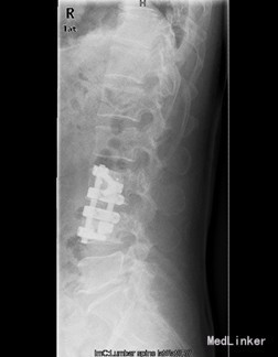
初步诊断:腰4椎体骨质破坏:结核?肿瘤? 诊疗计划:经前路腰4椎体部分切除,椎管减压,取自体髂骨植骨融合,Antares内固定术


术中见腰4椎体骨质破坏,其内可见空腔形成,周围骨质硬化,左侧椎旁椎体空腔内可见少量干酪样坏死组织,腰3、4椎间盘破坏、碎裂,部分组织突入椎管,压迫硬膜囊,取坏死组织术中冰冻切片示:肉芽肿性炎症伴坏死。
