主诉:上腹部疼痛伴发热和恶心呕吐20余天。 病史:患者20天前进食后出现上腹部疼痛,伴有后背部疼痛和呕吐,呕吐后疼痛可缓解,之后出现寒战发热,就诊于抚顺某医院,行上腹部CT检查,提示:肝内外胆管多发结石,肝内外胆管扩张。脾大。胃窦壁略增厚。并予以保肝,抑酸,抗炎治疗,略好转,今患者为求进一步治疗来我院,门诊以“肝内外胆管结石“为诊断收入病房。病来饮食欠佳,睡眠正常,小便黄,大便干燥,一周便一次,近期体重减轻约10kg。

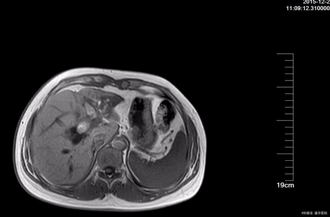
查体:全身皮肤及巩膜无黄染,腹软不胀,未见胃肠型及蠕动波,全腹平软,全腹无压痛及无反跳痛,无肌紧张,Murphy's征(-),肝区叩痛(-),双肾区叩击痛(-),移动性浊音(-),肠鸣音6次/分。 辅查: 肝功能化验,总胆红素及直接胆红素正常,转氨酶有升高。 MRCP提示胆囊增大,肝内外胆道内多发结石,伴胆道梗阻。 腹部BUS提示 1.肝外胆道梗阻, 2.肝门部胆管至胆总管内结石, 3.肝内胆管结石。
诊断: 肝内外胆管结石 治疗:全麻下手术探查:胆囊约10*3.0*3.0cm,壁厚约0.3cm,与周围组织粘连,胆总管扩张,直径3cm,内可触及结石,肝脏左叶萎缩,内及结石,术中诊断胆囊炎 ,胆总管结石,左肝萎缩,左肝内胆管结石,行胆囊切除,左半肝切除, 胆总管切开取石 ,T 管引流术。术后病理证实(左半)肝内胆管结石,伴慢性炎症,慢性胆囊炎。

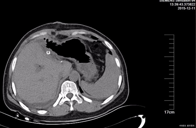
术后恢复顺利,复查腹部CT,可见左半肝缺如,腹腔内有引流管,无明显积液。术后7天起逐渐抬高T管,患者无不适至2周T管关闭,出院。嘱术后1月回病房T管造影,如果无胆道残石,拔除T管,如果有,经窦道胆道镜取石。对于普通外科医生,肝外胆管结石处理起来,都会得心应手,肝内胆管结石相对复杂,本病例引起左半肝萎缩,予以切除,胆总管置T管,也属于常规手术,难的是一些肝内胆管结石,往往由于胆管狭窄引起,这种情况下,仅切除部分肝脏,置T管是不够的,病因未解除,术后结石非常容易复发。对于这样的病人,切除部分肝脏后,将狭窄部分胆管彻底剖开,尽量取净结石,然后根据情况,胆总管T管引流,或者胆管空肠Roux-en-Y 吻合,才能够治愈,减少结石复发风险。