下载或打开 医联APP 查看完整评论
立即下载
打开APP
患者 男性,76岁,主因排尿困难10年、不能排尿2周入院。

检查超声检查提示双肾轻度积水,膀胱小梁、小房形成,前列腺大小76 mm×72 mm×65mm。盆腔CT平扫显示前列腺重度增生并突入膀胱内(图1)。
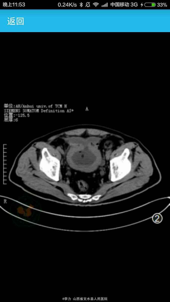
诊断前列腺增生。 入院后予以留置导尿,硬膜外麻醉下行经尿道前列腺等离子电切术。术中见前列腺中叶、两侧叶均明显增生,突向膀胱内呈球形。 电切过程中用Ellik冲洗器冲出组织碎片。当电切膀胱颈顶部时闻及爆炸声,立即怀疑膀胱内气体爆炸并停止电切。镜下检视膀胱发现前壁有一直径约25px破裂口。因患者一般情况良好,各项生命体征平稳,无明显腹胀、腹肌紧张,故降低冲洗速度,继续修整切除前列腺尖部增生腺体。术后留置导尿、缓慢膀胱冲洗。术后CT检查显示膀胱前壁有一破裂口,位于腹膜外(图2)。患者恢复良好,10d后拔除导尿管,自行排尿通畅。

电切过程中膀胱爆炸很少见,可能与冲洗速度,电切功率等因素有关。