患者为一名76岁的老年男性,因“排尿困难10年、不能排尿2周”入院。
直肠指诊:前列腺Ⅳ度增大,质地韧,未触及结节。 超声检查提示双肾轻度积水,膀胱小梁、小房形成,前列腺大小76 mm×72 mm×65mm。 入院后予以留置导尿,硬膜外麻醉下行经尿道前列腺等离子电切术(transurethralplasma kinetic prostatectomy,TUPKP)。术中见前列腺中叶、两侧叶均明显增生,突向膀胱内呈球形,距精阜约4个视野。

入院后予以留置导尿,硬膜外麻醉下行经尿道前列腺等离子电切术(transurethralplasma kinetic prostatectomy,TUPKP)。术中见前列腺中叶、两侧叶均明显增生,突向膀胱内呈球形,距精阜约4个视野。电切过程中用Ellik冲洗器冲出组织碎片。当电切膀胱颈顶部时闻及爆炸声,立即怀疑膀胱内气体爆炸并停止电切。镜下检视膀胱发现前壁有一直径约1cm破口。

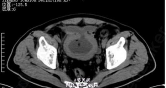
因患者一般情况良好,各项生命体征平稳,无明显腹胀、腹肌紧张,故降低冲洗速度,继续修整切除前列腺尖部增生腺体。术后留置导尿、缓慢膀胱冲洗。术后CT检查显示膀胱前壁有一破裂口,位于腹膜外(图2)。患者恢复良好,10d后拔除导尿管,自行排尿通畅。 气体爆炸与爆炸性气体在膀胱内聚集有关。电切过程中由于高温电灼、组织碳化,组织受热分解产生以氢气为主的混合性气体。膀胱内气体爆炸可以无明显膀胱损伤,也可出现膀胱黏膜撕裂、腹膜外或腹膜内膀胱破裂甚至合并肠管损伤等严重并发症。术中闻及气体爆炸声后,必须立即停止操作,仔细检查膀胱损伤情况。膀胱损伤轻微或虽有腹膜外膀胱破裂但破裂口较小时,可根据患者当时情况决定是否继续手术,术后保持膀胱空虚状态使其愈合。若破裂口较大、多处破裂、伴有活动性出血或腹膜内膀胱破裂时,需立即改开放性手术进行膀胱修补等处理。