打开应用

人工血管感染一例

王医师   绵阳市中心医院

主诉 病史

男,66岁,左下肢高位截肢术后2年,人工血管感染1年 患者2年前因外伤行左下肢高位截肢,同时伴有血管损伤,行人工血管转流,1年前腹部伤口反复出现感染,间断有脓性分泌物及血性液体流出,无明显寒战高热

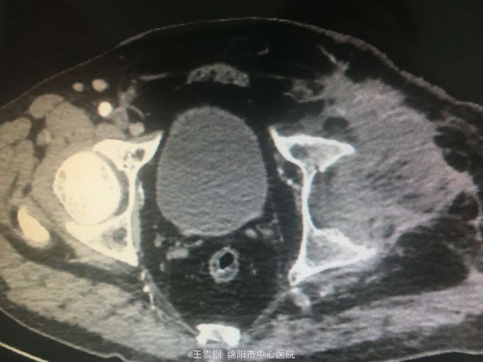
查体 辅查

下腹部可见人工血管突出体表约3cm,伴有血性液体及脓性分泌物流出 完成CT检查

诊断 处理

左下肢截肢术后;人工血管感染; 全麻下行人工血管取出、局部清创术

随访 讨论

目前继续予以抗感染、伤口换药,伤口拟于二期缝合

发布于 16-01-03 13:03

8 个评论

发送