下载或打开 医联APP 查看完整评论
立即下载
打开APP
患者,男,65岁 主诉:左侧胸腹部疼痛2天 现病史:两天前从楼梯上摔落,后左侧胸腹部钝痛,今日加剧入院。
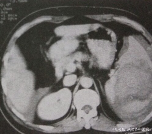
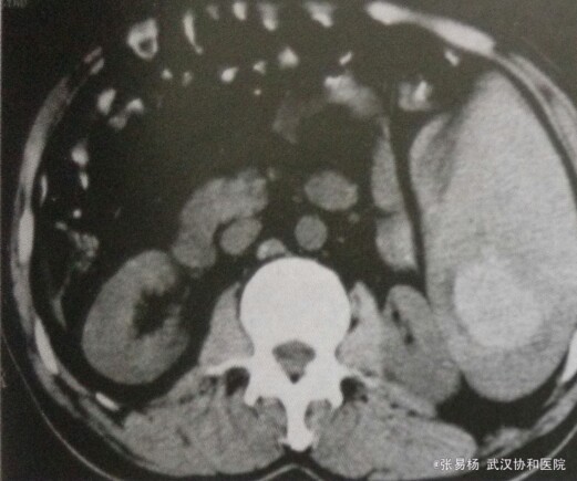
体检:胸廓挤压征+,左上腹压痛明显,脾区扣痛明显,无明显反跳痛,急诊腹部穿刺抽出不凝血。 辅检:CT示脾体积增大,脾实质内见结节状、斑片状高低混密度影,增强扫描脾血肿及包膜下积血无强化,脾实质强化。



行脾切除术,手术证实外伤性脾破裂出血、脾内血肿
脾脏是最易破裂的实性脏器,伤性脾破裂在闭合性腹部损伤中列首位。根据损伤范围,将其分成三型,即中央型破裂(脾实质深部)、被膜下破裂(脾实质周边部分)和真性破裂(累及被膜)。临床所见脾破裂,约85%是真性破裂,破裂部位较多见于脾上极及膈面,有时在裂口对应部位有肋骨骨折存在。破裂如发生在脏面,尤其是邻近脾门者,有撕裂脾蒂的可能,若脾蒂破损,则出血量大,可迅速出现休克,甚至未及抢救就已死亡。