下载或打开 医联APP 查看完整评论
立即下载
打开APP
患者于2015年11月13日15:30左右因在工厂2米高管道上作业不慎坠落致颈部疼痛,四肢活动受限,受伤后被家人送入当地北台镇医院,输一袋葡萄糖液,转入本溪二院,行口腔科、眼科缝合行X线检查,头颅ct检查。患者及家属为求系统治疗,急来我院,急诊予以行辅助检查,提示:颈4-6棘突骨折,颅骨多发骨折;急诊以“颈椎外伤”为主诊断收入我科。病来患者一般状态无头晕及头痛,,无恶心及呕吐 ,留置导尿中。


前额部敷料包扎中,打开敷料见右眉处7cm大小创口已缝合,无渗出,前额处可见一5cm大小创口已缝合,颈领保护中,触痛。双手感觉减退。患者平乳头以下触觉存在,痛觉及运动消失。屈肘肌力(R4,L4),伸肘肌力(R0,L0),手掌掌屈肌力(R0,L0),手掌背伸肌力(R0,L0)。双手握力(R0,L0)。髂腰肌肌力(L0级,R0级),伸膝力(L0级,R0级),足背伸力(L0级,R0级),足跖屈肌力(L0级,R0级),神经反射:BCR:L(-)R(-),TCR:L(-)R(-),肱桡肌反射:(-)R(-),PSR: L(-)R(-),ASR: L(-)R(-),Hoffmann Sign:L(-)R(-), Babinski Sign L(-)R(-) 双侧桡动脉、足背动脉可扪及搏动,末梢血运良好。




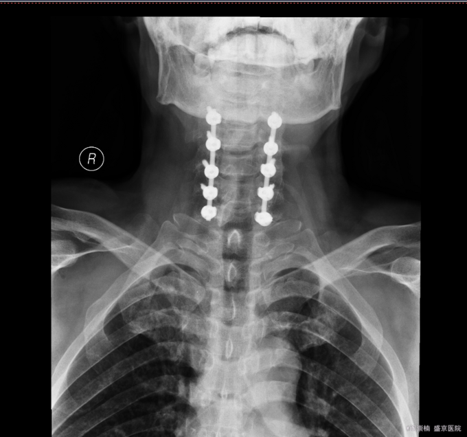
患者入院后完善相关检查,明确诊断,手术指征明确,于2015-11-17日于全麻下行颈椎后路单开门椎板减压,侧块螺钉内固定术,术后经抗炎、止疼等对症治疗后,患者恢复顺利,切口愈合良好,今日可出院。

