下载或打开 医联APP 查看完整评论
立即下载
打开APP
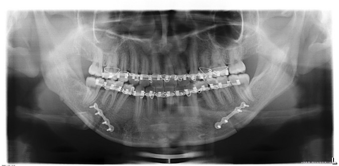
正颌术后复诊,患者因下颌前突一年前在我院正颌外科行BSSRO+双侧下颌骨去骨皮质术+坚固内固定术+牙弓夹板栓扎术,今复诊要求拆钛板
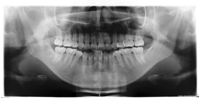
口内检查:上下牙弓关系协调,前牙正常覆合覆盖,后牙正中咬牙合,腔卫生状况良好,全口牙未见明显异常。下颌体双侧扪及钛板,颈部浅表淋巴结未触及。
诊断:正颌术后钛板钛钉存留,在手术室全麻下行“双侧下颌骨钛板钛钉取出术+右下颌骨部磨削术+双侧下颌邻近瓣转移修复术”。手术经过顺利,麻醉满意


出院带药:西吡氯铵含漱液 2瓶 甲钴胺片 0.5mg*40# Sig: 西吡氯铵含漱液 10ml 含漱 bid 甲钴胺片 0.5mg po tid