下载或打开 医联APP 查看完整评论
立即下载
打开APP
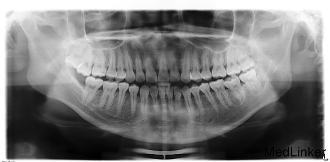
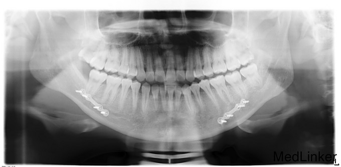
正颌术后半年余,患者2015年1月12日因“下颌偏斜10余年”来我院治疗,于2015年1月16日行“双侧下颌骨升支矢状劈开截骨前徙术+去骨皮质术+骨内坚固内固定术+上下颌牵引钉植入术”,今为取出下颌骨存留钛板来我院就诊,门诊以"正颌术后钛板存留"收入
双侧颜面部基本对称,下颌稍左偏,侧面观下颌稍突,双侧颞下颌关节区无弹响、压痛,双侧髁突活动度正常。开口度3.5cm,开口型“↘”。口内检查:全口恒牙列,口腔卫生一般,上下牙列中线不对齐,下牙列稍左偏,前牙对刃合。



诊断:正颌术后钛板留存,患者入院后完善相关检查,排除手术禁忌证,有手术指征,于2015年8月16日局麻下行“双侧下颌骨钛板钛钉取出术”,术后予消肿等对症治疗。
正颌术后的钛板可以不取出,如果取出的话一般是一年半以后