下载或打开 医联APP 查看完整评论
立即下载
打开APP
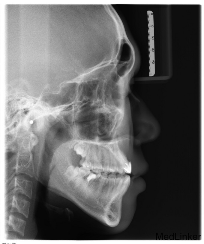
正颌术后半年要求取出钛板
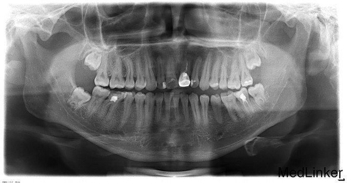
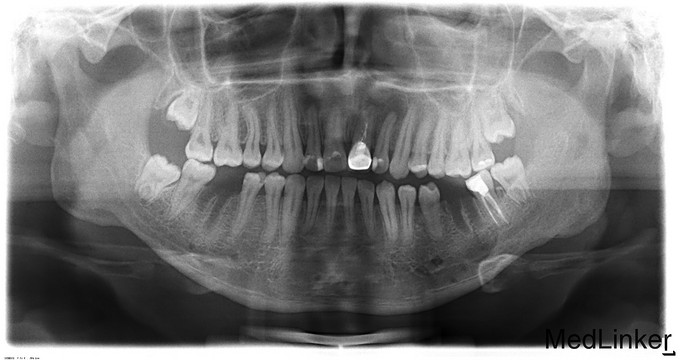
双侧面部基本对称,张口度3.5cm,张口型“↓”,双侧髁突动度正常,张闭口未闻及关节弹响。口内检查:双侧下颌前庭沟可见手术瘢痕。左下6颊侧可见一瘘管,轻压痛,无溢脓。36牙合面大面积充填物,46残冠。双侧头颈淋巴结未触及明显异常。




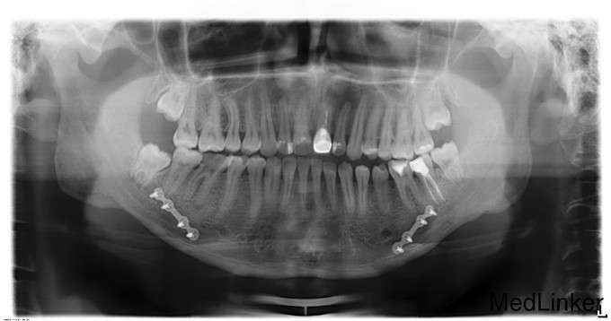
诊断:1.双侧下颌正颌术后钛板存留2.36、46残冠,全麻下行双侧下颌骨钛板取出术+双侧下颌骨邻近瓣转移修复术+36、46拔除术,手术经过顺利,麻醉满意,术后予消炎、消肿等对症治疗。
继续行正畸治疗,术后半年拆钛板的有时候也局麻下完成