打开应用

巨块肝癌一例

李医师   湖南旺旺医院
肿瘤 原发性肝癌 肝癌

主诉 病史

患者男,57岁,上腹部胀痛伴乏力3个月;患者3个月前开始无明显诱因感到上腹部胀痛不适,呈持续存在,无畏寒发热,无皮肤巩膜黄染,无恶心呕吐,无别处放射痛,同时伴有渐近性乏力。3个月来疼痛持续不缓解,遂来院就诊。患者既往有乙肝小三阳病史多年,未予处置及复查。

查体 辅查

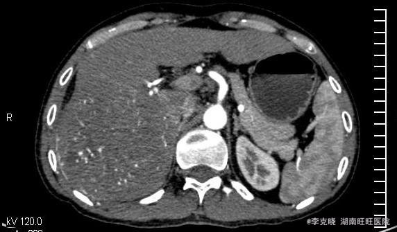
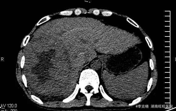
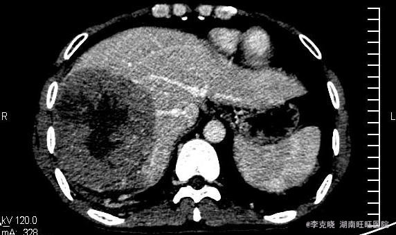
四测正常,皮肤巩膜无黄染,心肺部听诊未闻及杂音。腹平坦,未见胃肠型及蠕动波,无腹壁静脉曲张,全腹柔软,右侧肋缘深压痛,无反跳痛,肝肾无叩痛,肝肺浊音界清晰,肠鸣音正常。四肢活动自如,无水肿。 辅助检查提示:血常规、凝血常规基本正常,谷丙转氨酶278u/l,谷草转氨酶326u/l,AFP大于20000。上腹部CT增强提示:右肝巨大占位,平扫期呈低密度,动脉扫描时强化明显,静脉延迟象呈现低密度,结合病史考虑原发性肝癌可能,建议结合临床。

诊断 处理

诊断:原发性肝癌(右肝巨块型)。治疗:考虑到患者的经济状况,结合肿瘤的影像学特点,经与患者充分沟通“以手术治疗为主的肝癌综合治疗思路”,最终患者选择先行TACE治疗。治疗后住院9天复查肝功能,转氨酶有下降趋势时,给予患者出院。一个半月后返院复查,转氨酶稍高,肿瘤内部碘油沉积满意,未见新生血管生成和新生病灶,建议患者继续观察、随访。

随访 讨论

随访四个月,患者在第三个月时,碘油流空较多,予以加做一次TACE,碘油再次沉积良好,目前仍在随访当中。 我国是乙肝人口大国,乙肝、肝硬化、肝癌成为肝癌三步曲。无症状的乙肝病毒携带者、肝功能正常的慢性乙型、丙型肝炎,均应重视起来,不能因暂时没有症状、或者肝功能正常而不加以干预,乙肝患者一定注意DNA定量检测,若拷贝较高,建议口服抗病毒药物,如恩替卡韦,丙肝患者需定期查肝功能和影像学诊断,必要时应用干扰素等治疗,防止肝功能缓慢破坏。 肝癌的治疗从手术到多种手段的综合运用,尤其是当今手术已不存在禁区,然而中位生存时间、预后、五年生存率等20年来几乎无明显延迟。我们医务工作者是否应该认识到,对抗性的治疗是否有利于恶性疾病的治疗,扶正祛邪的祖国中医理论是否有可取之处?带瘤生存、与瘤共生和平相处是不是更由于创伤巨大的手术呢。此患者最终选择TACE,笔者认为十分赞同,经过四个月的治疗来看,肿瘤得到了有效遏制,生子速度大大延缓,而患者自身生活质量也比手术切除要高的多。

发布于 15-12-31 00:15

3 个评论

发送