下载或打开 医联APP 查看完整评论
立即下载
打开APP
主诉:消瘦、乏力半年余 病史:患者自诉半年来体重下降近6KG,伴乏力,无其他不适。1周前至当地医院检查,腹部CT提示肝内巨大肿块,为进一步治疗前来就诊。
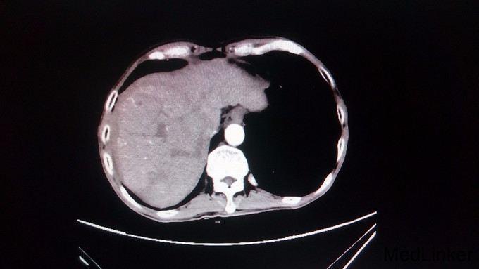
查体:未见明显异常 辅助检查;AFP424.4ug/L,CA199 162.3ug/L,乙肝小三阳白蛋白31.5g/L,转氨酶及胆红素未见明显异常。腹部CT提示肝硬化、脾大,食管远端胃底黏膜下静脉曲张,肝右叶巨大混杂密度影。考虑巨块型肝癌。

诊断:1、乙肝 2、肝硬化。3、巨块行肝癌。 处理:根据患者肝功能,拟行开腹右三页切除术。向患者及家属说明手术相关风险及费用。最终放弃治疗。
随访:无 讨论:患者巨大型肝癌,占据肝右叶及左肝内叶。但患者肝功能尚可,手术尚可一搏。只是具体还要考虑到剩余肝脏是否足够。请问具体怎么来判断残余肝脏是否能够满足人体需要而不发生肝衰竭呢?