主诉:反复乏力、腹胀2年,加重1周。 病史:现病史:患者2年前体检发现"乙肝肝硬化"。其后反复出现乏力、腹胀症状,两次在医大一院住院治疗。未抗病毒治疗。3个月前就诊于我院,开始口服恩替卡抗病毒治疗。1周前患者再次出现腹胀症状,且逐渐加重,为进一步诊治,现来我院。患者本次病来无发热,无意识障碍,无恶心呕吐,无腹痛和腹泻,无鼻衄,偶有齿龈出血,食欲减退,夜内睡眠不实,24小时尿量约1200ml,大便正常,无黑便,近期无显著消瘦。
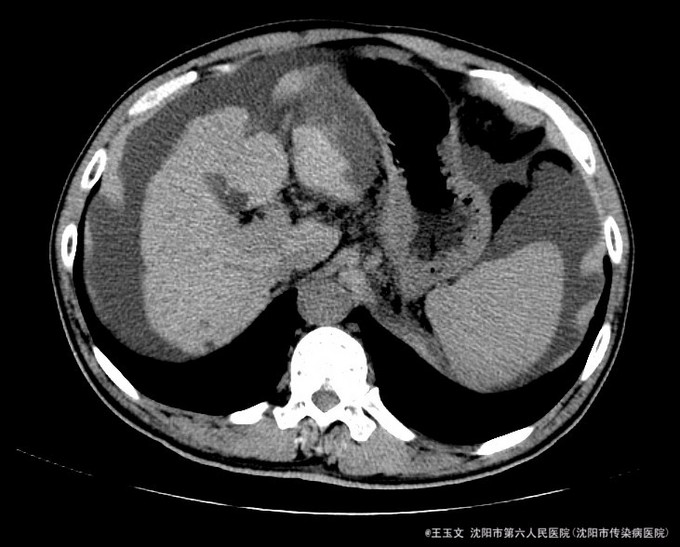
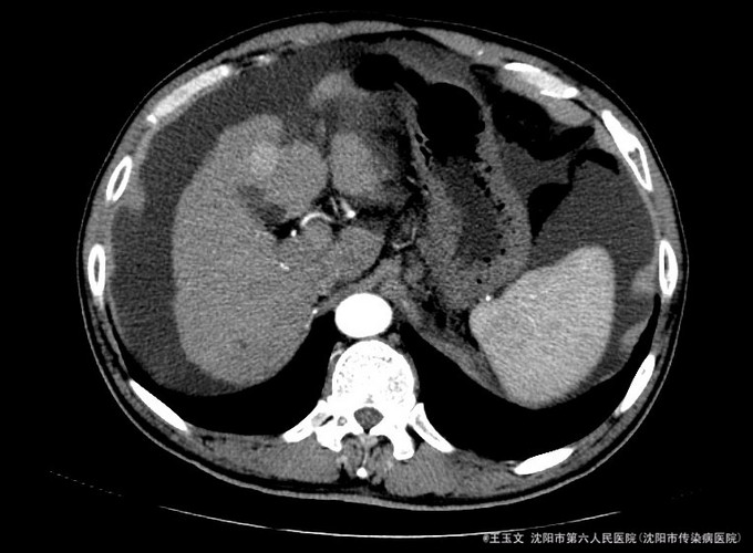
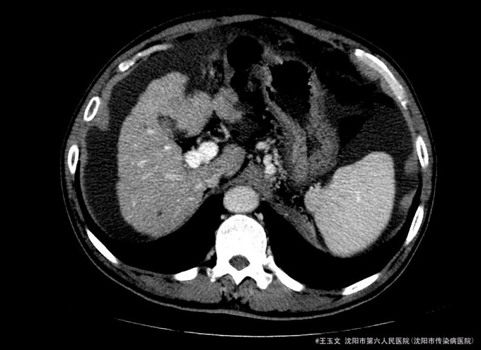
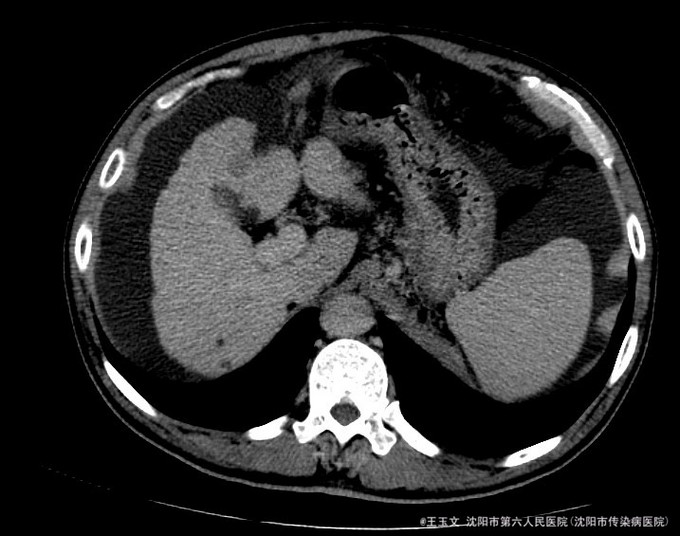
查体:神志清,巩膜无黄染,心肺听诊无异常,腹软,无压痛,肝区无叩痛,移动性浊音阳性,双下肢无浮肿,扑翼样震颤阴性。可见肝掌和腹水等阳性体征 化验结果:天门冬氨酸氨基转移酶 48 U/L、胆碱酯酶 3254 U/L、总蛋白 84.0 g/L、总胆红素 39.9 umol/L、非结合胆红素 26.7 umol/L。凝血酶原时间 15.5 秒、凝血酶原比率 1.35 、凝血酶原百分活动度 54.9 %、活化部分凝血酶原时间 40.7 秒、纤维蛋白原含量 1.255 g/L、D-二聚体 3.05 ug/ml↑。乙型肝炎病毒表面抗原 阳性(+) ↑、乙型肝炎病毒e抗体 阳性(+) ↑、乙型肝炎病毒核心抗体 阳性(+) 。甲胎蛋白(AFP) 11.52 ng/mL。 超声检查示:肝硬化,较多腹水,肝内见多个低回声,较大约1.5*1.0厘米,边界清晰。 肝增强ct:肝脏边缘欠规整,肝裂增宽,各叶大小比例失调,肝实质内见多个低密度结节,较大位于Ⅳ段,大小约2.04cm,增强扫描动脉期Ⅳ段两个结节中等强化,门脉期及延迟扫描呈低密度,余结节无明显强化;肝内亦见多个小囊性密度灶,较大约1.44cm,无强化。肝内外门静脉显示清晰,脾脏增大增厚,超过肝脏下缘,胆囊不大,壁增厚,其内密度均匀,胰腺形态密度无特殊。肝内外胆管未见明显扩张,腹膜后未见明显肿大淋巴结。食管下段胃底贲门区见扩张扭曲的血管影。肝周及腹膜间隙见有中等量液性密度影。




诊断:初步诊断:1、乙肝肝硬化 失代偿期; 确定诊断:乙肝肝硬化 活动性 失代偿期C-P B级 行肝脏增强CT后补充诊断:肝占位性位病变 行DSA下肝动脉造影后修订诊断:原发性肝癌 治疗:限盐饮食,口服利尿剂,减少水钠储留,促进腹水消退,静点异甘草酸镁保肝治疗,行增强CT检查,发现肝内占位,考虑恶性可能大,患者肝功改善后,于局麻下DSA下行肝动脉造影及TACE治疗
术后患者未见TACE治疗并发症,无不适,复查化验结果:天门冬氨酸氨基转移酶 41 U/L、胆碱酯酶 1901 U/L、白蛋白 29.3 g/L、总胆红素 24.6 umol/L。甲胎蛋白测定:甲胎蛋白(AFP) 7.75 ng/mL。患者肝功改善,术后一周时候复查CT示病灶碘油沉积尚好,办理出院。 本例患者比较典型,虽然其术前甲胎蛋白不高,但其增强CT有典型的“快进快出”特征,并且乙肝背景,有经验的医师会考虑其为原发性肝癌的可能非常大, TACE治疗即可以确诊其肝癌,又能在确诊的同时给予治疗。