主诉:间断倦怠、胁肋胀痛2年,加重1周。 病史:现病史:患者2年前无明确诱因自觉倦怠、胁肋胀痛,化验肝功异常,HBVDNA阳性,诊为"CHB",启用阿德福韦酯抗病毒至今。近1周无明确诱因自觉倦怠加重伴胁肋胀痛,化验肝功异常,为系统诊治,就诊我院,经门诊医师详查后以"CHB"为诊断入院。该患者收入我院中医科,入院后增强CT发现肝内站位并且甲胎蛋白增高,转入我科治疗
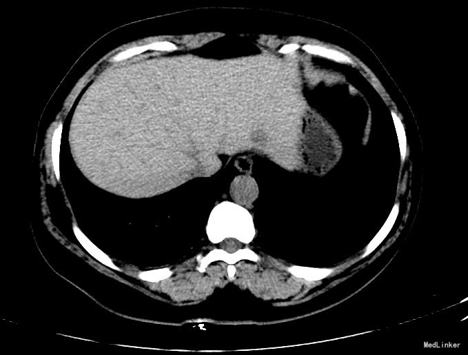
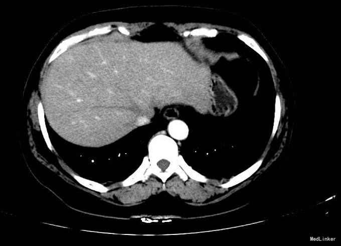
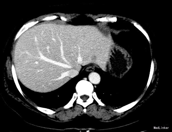
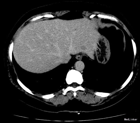
查体:体格检查:体温36.4℃,脉搏72次/分,呼吸18次/分,血压120/70毫米汞柱,神志清,状态可,皮肤及巩膜无黄染,手掌赤痕阳性,红丝赤缕阴性,心肺听诊未闻异常,腹软,无压痛,肝脾肋下未及,移动性浊音阴性,双下肢无浮肿,扑翼样震颤阴性,舌象:舌淡红、苔薄白,脉象:弦脉。 化验:血细胞分析:白细胞计数 6.3 10^9/L、红细胞计数 4.73 10^12/L、血小板计数 175.0 10^9/L、血红蛋白 156 g/L,肝功酶谱:丙氨酸氨基转移酶 22 U/L、碱性磷酸酶 84 U/L、白蛋白 43.8 g/L、总胆红素 13.3 umol/L,甲胎蛋白测定:甲胎蛋白 182.80 ng/mL 彩超:符合慢性肝损伤,肝右叶高回声性质待定0.7cm 肝弹性测定:CAP 252 E 6.9 增强CT:脾大,肝硬化?肝内多发RN,大小约1.2cm,Ⅱ段结节合并Ca变可能性大




诊断:1.乙肝肝硬化 活动性 代偿期 C-P分级 A级 5分 2.肝占位(不除外HCC) 治疗:患者乙肝肝硬化患者,多次于我院中医科住院治疗,本次住院期间中医理疗、抗病毒治疗,查甲胎蛋白增高,并且增强CT发现肝内可疑病灶,考虑原发性肝癌可能性大,于局麻下行TACE治疗,术中诊断为原发性肝癌以微导管超选S2段肝动脉一分支,造影明确为肿瘤供血动脉,注入混悬液(碘化油5毫升+雷替曲塞2毫克)3.2毫升,栓塞微球0.1毫升。
术后患者略乏力,食欲可,二便正常。 查体:神志清,状态可,皮肤及巩膜无黄染,有肝掌,无蜘蛛痣。心肺听诊未闻异常,腹软,无压痛,肝脾肋下未及,移动性浊音阴性,双下肢无浮肿,扑翼样震颤阴性。足背动脉搏动良好。 化验肝功转氨酶略有上升,甲胎蛋白下降。 DSA下肝动脉造影,即是肝癌有效的诊断手段,又是有效的治疗手段,如本例患者,在术中诊断为原发性肝癌的同时,及时进行治疗。TACE创伤小、恢复快、效果较好,是有效的治疗手段