下载或打开 医联APP 查看完整评论
立即下载
打开APP
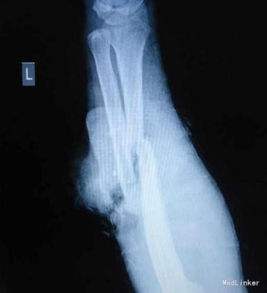
患者36岁,因“电锯锯致左前臂疼痛出血伴畸形1小时”入院
左前臂中段背侧见U形皮瓣,长约16厘米,蒂长约8厘米,蒂宽约5厘米,翻向远侧;创面轻度污染,伸肌群断裂,尺桡骨骨折端外露,有搏动性出血。1-5指背伸障碍,4、5指感觉减退,桡动脉搏动存,尺动脉搏动未触及。 X线:左尺桡骨中段粉碎性骨折,断端成角错位。
左前臂切割伤:左尺桡骨开放粉碎性骨折,伸肌群断裂,尺侧血管神经束断裂。 手术行清创+尺桡骨骨折内固定+肌腱缝合+尺神经吻合术,术中见尺桡骨断端不整,予修复后钢板内固定,并取人工骨条植骨;术中见指端血供可,指腹饱满,予结扎骨间动脉及尺动、静脉,吻合尺神经。并予伸肌群一一对应缝合。见皮肤张力高,无法完全对合,遗留尺背侧约5.0*4.0厘米创面。术后见指端血供可,毛细血管充盈时间1-2秒。术后第3天患肢肿胀明显,拆除部分缝合线,挤压后有淡黄色脓液流出,伴恶臭,且有伸肌群的坏死;指端血供可。普通培养基做细菌培养及药敏示:溶血性葡萄球菌。每日予甲硝唑+阿米卡星以及双氧水冲洗创面。





术后第7天,皮瓣及伸肌群坏死,创面仍然有少量脓液,无明显恶臭;钢板外露。
