下载或打开 医联APP 查看完整评论
立即下载
打开APP
患者男性,36岁,因扭伤后右踝肿痛1月余入院。患者1月余前因扭伤致右踝肿胀、疼痛,外院就诊,诊断为“右胫骨撕脱性骨折”,予石膏固定、草药外敷等治疗后未见好转,遂至我院治疗。
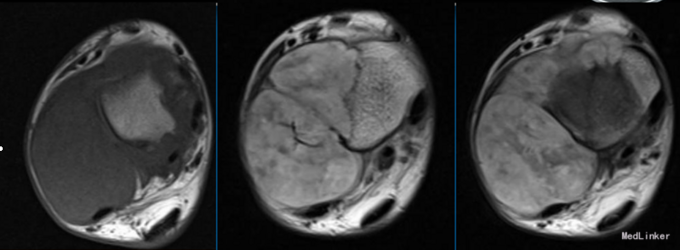
查体:右外踝肿胀,皮肤颜色暗红色,皮温增高,右侧踝可触及质韧肿物,基地广泛,移动度差,肿物按压有轻度胀痛,无叩痛。 辅查:右胫腓骨X线片示:右胫腓骨远端骨质缺失,周围软组织肿胀,不除外骨肿瘤,建议进一步检查。行MRI示:右胫腓骨远端肿物,考虑恶性肿瘤。实验室检查未见明显异常。



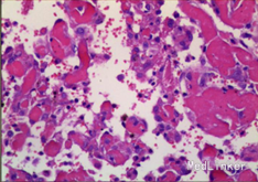
入院诊断:右胫腓骨肿物。入院后行穿刺活检,活检病理示:送检组织见成簇大小不等增生的血管,血管间可见增生的纤维母细胞及硬化的胶原,部分似毛细血管,血管内皮细胞增生,少许呈乳头状伴有纤维素渗出,成簇增生的小血管想骨组织内浸润性生长;结合影像学改变考虑侵袭性血管瘤病。患者予唑来膦酸治疗,治疗后骨化明显,右踝关节胀痛明显缓解。

1年后患者行右踝关节肿物切除+踝关节融合取腓骨重建术。
