打开应用

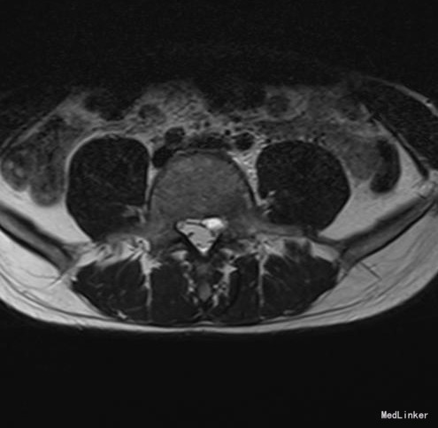
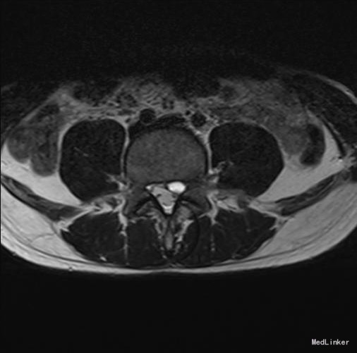
椎管侧隐窝占位1例

许医师   上海中医药大学附属龙华医院

主诉 病史

左侧下肢放射痛1月加重2天

查体 辅查

腰椎前屈受限,腰4-5左侧棘突旁压痛,左侧直腿抬高试验小于30°,肌力正常。

诊断 处理

腰椎椎管内占位 腰椎后路开窗减压+椎间融合+内固定术

随访 讨论

双下肢疼痛消失,生活自理

发布于 15-12-24 23:52

4 个评论

发送