下载或打开 医联APP 查看完整评论
立即下载
打开APP
病史:14岁男孩因非特异性右季肋痛5天到一家区医院就诊。他没有黄疸、发热、厌食或体重减轻史。他没有任何其他相关症状。无重大过去史或家族史,无药物摄入或过敏史。
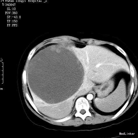
查体及辅查:他的全身体格检查无明显异常。他的皮肤或巩膜没有淡黄色的褪色,无蜘蛛痣和肝掌。系统检查显示大块肝肿大。他的血液计数和肝功能试验正常。甲胎蛋白也正常。超声检查显示,肝右叶有一个大肿块。他被转诊至本院进行进一步处理。对比增强CT扫描显示,肝右叶有一个大的低密度肿块,大小为14 cm × 15 cm × 15 cm

诊断:肝占位(肝ca?) 治疗:剖腹探查,发现肝右叶有一个大肿块,并且部分左叶包膜破裂,破裂部分粘附于胸膜。我们进行了肿瘤切除术,整个肝脏的大约70%被切除。对标本的病理学检查显示,肝右叶和部分肝左叶重1150 g,有1个大小为14 cm × 15 cm × 15 cm 的肿瘤块。组织学检测显示恶性肉瘤样组织,有巨大肿瘤细胞和残余肝细胞,提示肝未分化肉瘤(图2)。还存在重度不典型肉瘤组织,局部存在巨大细胞,部分细胞有成肌细胞的特点。磷酸烯醇式丙酮酸羧激酶(PCK)、波形蛋白以及α1抗胰蛋白酶的免疫组化染色为阳性,而上皮膜抗原(EMA)为阴性。
随访:未完成 讨论: 原发性肝肿瘤是位于Wilms肿瘤和神经母细胞瘤之后第三常见的儿童实体恶性肿瘤,它们约占总的儿科实体恶性肿瘤的2%。原始间叶肿瘤尽管罕见,是第四常见的儿科恶性肝肿瘤(位于肝母细胞瘤、婴儿性血管内皮瘤和肝细胞癌之后)。原始间叶肿瘤大约占儿童所有肝肿瘤的9%-15%。