下载或打开 医联APP 查看完整评论
立即下载
打开APP
打开应用
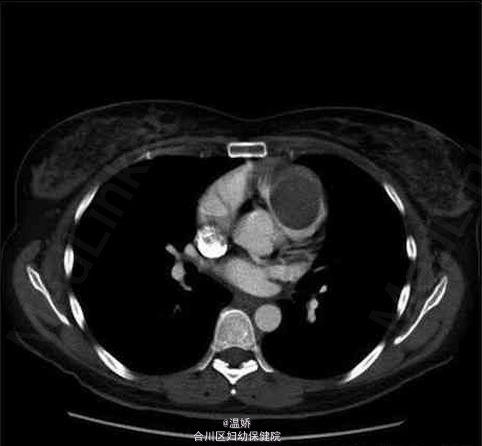
一例罕见的心室粘液瘤
温医师
重庆市合川区妇幼保健院
粘液瘤
主诉 病史
患者,女,42岁
发布于 15-03-10 09:44
医联推荐你看
罕见的肿瘤
胰腺罕见病变----粘液性囊性肿瘤一例
罕见的实体瘤一例
共
0
个评论
暂无评论
发送
0