主诉:女性因低热、厌食、腹部不适和左腹胀6个月前来就诊。6个月前的腹部CT扫描显示脾充盈缺损,当时解释为脾脏囊肿,未予特殊治疗。体检发现她有轻度贫血,自诉易疲劳。
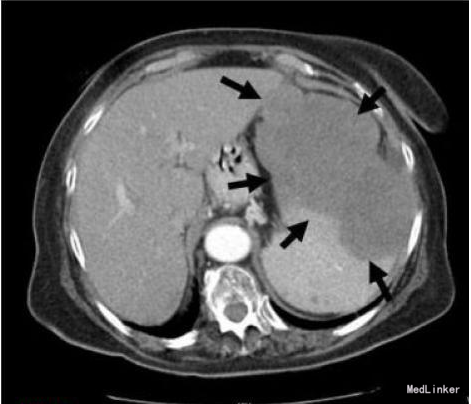
查体及辅查 腹部检查可触及脾脏显著增大。未触及外周淋巴结肿大。胸部和纵膈CT扫描除了一些与她的年龄相符的纤维化变化以外未见明显异常。未见纵膈淋巴结肿大。腹部CT扫描发现脾大,有一个明确的肿块,占据约2/3脾脏。



诊断:高钙血症、巨脾 治疗: 随后几天静脉输注生理盐水和呋塞米后,她的血清钙浓度逐渐得到纠正。她未接受任何其他治疗高钙血症的特殊疗法(如降钙素或双磷酸盐)。入院第5天,她进行了脾切除术,切下来的脾脏巨大,大小为22×18×14cm ,重1800 g,内有一个质硬的肿块。
随访:术后她的血清钙浓度为8.5-9.6 mg/dl,但仍有低热以及厌食。骨髓活检未见骨髓受累。根据无溶骨性病灶、骨髓未受累、骨髓无浆细胞增多以及血清蛋白电泳无丙种球蛋白病,可排除包括多发性骨髓瘤在内的其他恶性血液病。随后她接受了6个疗程的RCHOP 治疗。根据她的年龄(85岁)、体重(70kg)、身高(1.58m) 以及体表面积 (1.7m²),化疗方案的剂量如下:利妥昔单抗 350 mg/m2,总量为600 mg,环磷酰胺 600 mg/m2,总量为1000 mg,阿霉素(多柔比星)40 mg/m²,总量为70mg,安可平(长春新碱)1.4 mg/m²,每次注射的总量为2 mg,强的松龙75 mg,每天一次,持续用5天。经过第二个疗程后,她的一般状况好转,不再发热,食欲恢复。化疗结束5个月后未见疾病的临床体征或实验室标志。 讨论: PTHrP的免疫组化免疫阳性明确证明了本病例的高钙血症是由肿瘤过度分泌PTH样物质导致。与成人高钙血症常见于T细胞白血病/淋巴瘤(ATLL)且几乎总是继发于PTHrP 过度分泌不同的是,血清钙浓度升高仅见于7%-8%的B细胞NHL患者,这种差异很显然是由不同的机制造成的。