主诉:体检发现腹部占位半月余。 病史:患者于入院前半月余子啊外院体检发现癌胚抗原升高,达41.39ng/ml,遵体检医师建议,于外院行中上腹部MRI增强检查,结果提示:胰腺体尾部占位,考虑恶性,胰腺癌可能性大。未予进一步治疗。患者既往无上腹部疼痛,无发热、乏力,无恶心、呕吐、厌食,无尿黄、陶土样便,皮肤无异常黄染,无寒战、心慌、气急,无反酸嗳气等异常。今为求进一步手术治疗,来我院治疗。患者既往有糖尿病史20余年,服用格列奈、二甲双胍控制血糖,血糖控制不佳,近期在外院行胰岛素皮下注射治疗,早16iu,晚12iu,血糖控制可。
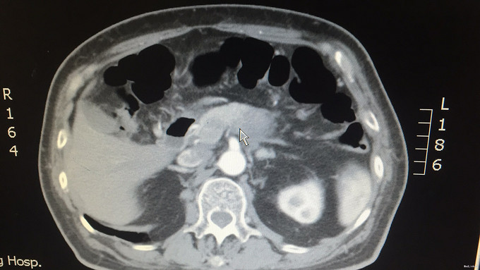
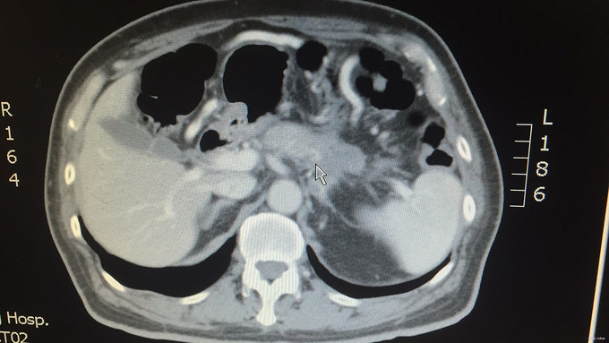
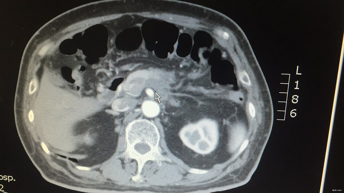
查体:腹部平坦,未见腹壁紧张及腹壁静脉曲张,无肠型及蠕动波;腹平软,无压痛、反跳痛、肌紧张等,未及明显异常,肝区无叩击痛,移动性浊音(—),肠鸣音4次/分,无增强或减弱。振水音(+)。 辅查:外院血癌胚抗原:41.39ng/ml;外院上腹部MRI增强:胰腺体尾部占位,考虑恶性,胰腺癌可能性大。我院上腹部CT平扫+增强:胰腺体部以远前后径约2.6cm,平扫CT值约50HU,增强后动脉期及门脉期CT值约68HU。胰胃间隙及胰后间隙稍模糊,可见数个淋巴结影,最大者长径约9.2cm。左侧肾上腺后支稍饱满,似可见一长径约1cm稍高密度影。[印象]:1.胰腺体尾部占位,恶性可能;2.腹腔内及腹膜后数个淋巴结;3.左侧肾上腺饱满,清结合临床。我院肿瘤指标检查:CA19-9:4.13U/ml,CEA:34.91U/ml,AFP:5.40U/ml。





诊断:1.胰体尾占位 2.高血压 3.II型糖尿病 治疗:患者入院后,完善相关术前检查,排除手术禁忌,与入院后第5天行腹腔镜探查+开腹胰体尾部肿块活检+胃空肠吻合术。术中腹腔镜探查见:腹腔内无腹水,腹膜腔未见明显转移灶,故决定行开腹手术。开腹探查见:胰腺体尾部有一6*5cm大小肿块,灰白色,质地坚硬,并侵犯十二指肠空肠曲,与后腹膜较固定,活动度差。考虑胰体尾部癌侵犯十二指肠空肠曲及后腹膜,无法根治性切除,且有导致肠梗阻趋势,决定行胃窦可见一6*4*3cm肿块,质地硬,已侵犯浆膜,胃体胃壁明显水肿增厚,结合胃镜,术中诊断胃窦癌伴幽门梗阻明确。故决定行胰体尾部肿块活检+胃空肠吻合术。手术顺利,术后给予常规抗炎、止血、抑酸、保肝等对症支持治疗。术后第9天出院。
随访:患者术中快速冰冻病理提示:胰腺局部导管上皮呈PanIN III级,部分考虑局灶癌变。患者家属术后拒绝行相关化疗。1年3个月后随访,患者已离世。